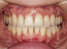
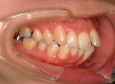
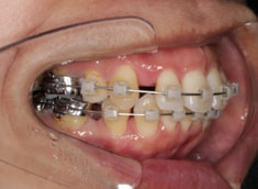
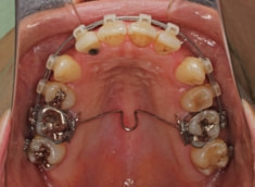
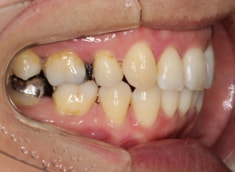
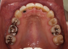
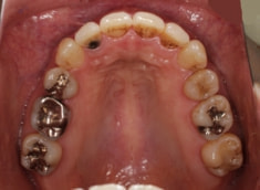
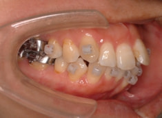
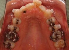
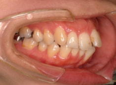
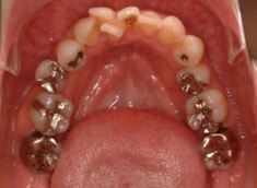
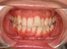
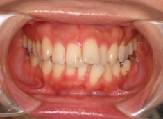
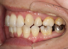
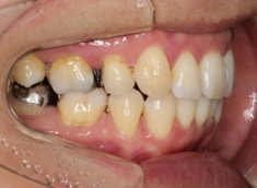
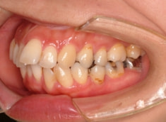
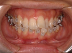
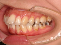
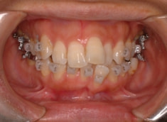
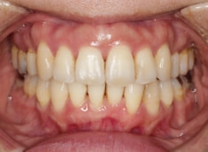
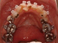
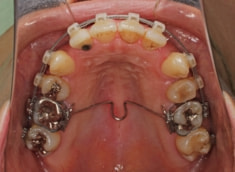
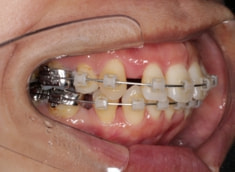
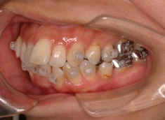
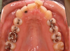
症例紹介

上下顎前突ケース

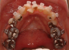
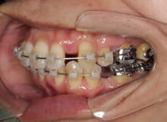
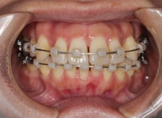
治療法:表の矯正(T21ブラケット)

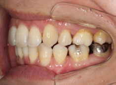
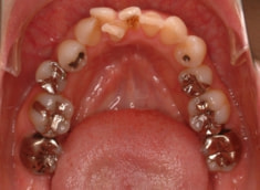
治療前









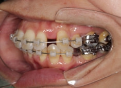
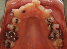
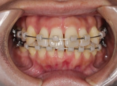
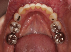
治療後(2年8ヶ月後)









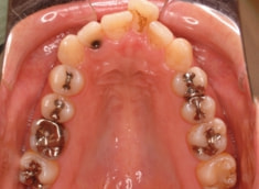
治療開始時





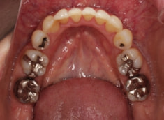
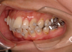
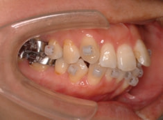
治療開始から11ヶ月後