フルパッシブ矯正のメリット
「歯肉の退縮」と「ブラックトライアングル」の発生が改善
従来の矯正治療後ではイラストのように、
残念ながら「歯肉の退縮」「ブラックトライアングル」が
顕著にみられることが数多くみられます。
残念ながら「歯肉の退縮」「ブラックトライアングル」が
顕著にみられることが数多くみられます。
せっかく矯正したのにこれでは残念です
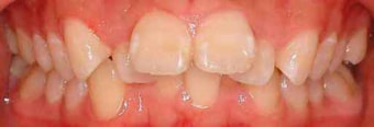
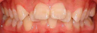
治療前
通常の矯正治療法の治療後
白石矯正歯科の治療
白石矯正歯科ではフルパッシブ矯正特有のライトフォースシステムで治療するので、このような通常の矯正治療のデメリットである歯肉退縮や、ブラックトライアングルの出現が改善されております
歯と歯槽骨と歯肉に優しいことを最優先した治療法なので、中高年、小児の矯正にも合っています
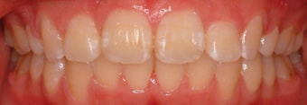
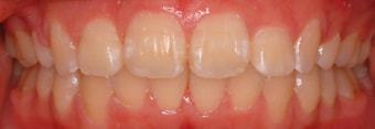
治療前
白石矯正歯科での矯正治療後
「ほんとうに必要な矯正を、正直に。」
白石矯正歯科
〒101-0024 東京都千代田区神田和泉町1-2-19 石井ビル3F
※1階がドトールコーヒーのビルです。
TEL 03-3866-8760
診療時間:10:00~18:30/診療日:月火水金土
| 受付時間 | 日 | 月 | 火 | 水 | 木 | 金 | 土 |
|---|---|---|---|---|---|---|---|
| 10:00-12:00 | ー | ◯ | ◯ | ◯ | ー | ◯ | ◯ |
| 14:00-18:30 | ー | ◯ | ◯ | ◯ | ー | ◯ | ◯ |