症例紹介

 

白石矯正歯科では「クオリティの高い治療」を提供しております。
(写真は全て矯正治療のみでの治療結果であり、外科矯正は行っておりません)

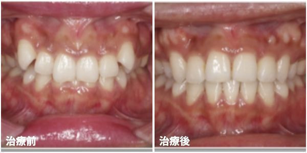
上下顎前突ケース

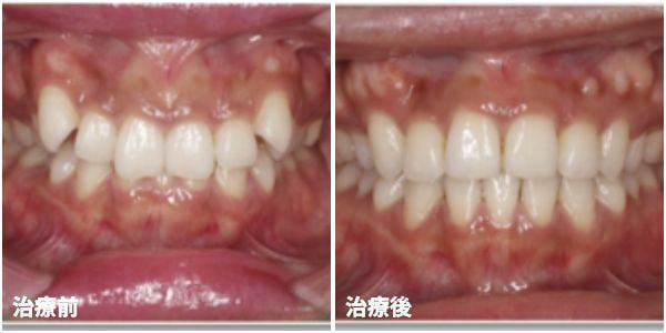
上下顎前突ケース
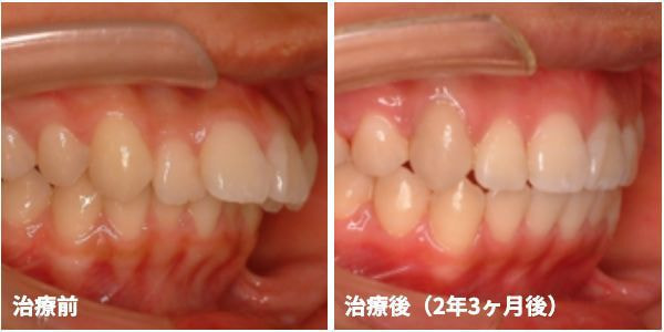
上下顎前突ケース
下顎両側5番先天欠如+上下顎前突ケース

本格矯正 難症例

反対咬合+左上3番高位埋伏
上顎前突+右下7番重度埋伏
先天欠如歯両側上顎3番
左上3番左下5番埋伏歯
右下7番欠如歯右下8番利用
左上3番埋伏歯
上顎前突+右下2番先天欠如ケース
左上3番埋伏歯
上顎2番矮小歯右下2番先天欠如
骨格的左右非対称+オープンバイト反対咬合

本格矯正 スペース不足(叢生)

叢生(がたがた)ケース
叢生(がたがた)+正中のズレがある症例
叢生(がたがた)ケース
叢生(がたがた)ケース
叢生(がたがた)ケース

本格矯正 開咬(オープンバイト)

開咬(かいこう:オープンバイト)ケース
開咬(かいこう:オープンバイト)ケース
開咬(かいこう:オープンバイト)ケース
開咬(かいこう:オープンバイト)ケース
開咬(かいこう:オープンバイト)ケース

本格矯正 反対咬合、下顎前突

反対咬合ケース
反対咬合ケース
反対咬合ケース

本格矯正 上顎前突

上顎前突ケース
上顎前突ケース
上顎前突ケース
上顎前突ケース
上顎前突ケース

本格矯正 過蓋咬合(ディープバイト)

過蓋咬合(ディープバイト)ケース
過蓋咬合(ディープバイト)ケース

小児 受け口

小児期ケース:反対咬合(受け口)
小児期ケース:反対咬合(受け口)
小児期ケース:反対咬合(受け口)
小児期ケース:反対咬合(受け口)
小児期ケース:反対咬合(受け口)

小児 スペース不足(叢生)

小児期ケース:叢生(ガタガタ)
小児期ケース:叢生(ガタガタ)
小児期ケース:叢生(ガタガタ)
小児期ケース:叢生(ガタガタ)
小児期ケース:叢生(ガタガタ)
小児期ケース:スペース不足+正中ずれ

小児 難症例

小児期ケース:反対咬合+上顎両側3番埋伏歯
小児期ケース:上顎両側2番先天欠如+反対咬合
小児期ケース:オープンバイト+反対咬合
小児期ケース:オープンバイト+下顎前突
小児期長期管理ケース:左右非対称+反対咬合
小児期ケース:反対咬合+上顎両側3番埋伏歯

リンガル(舌側矯正)

叢生ケース
叢生+左下1番先天欠如ケース