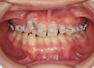
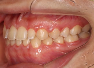
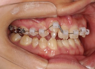
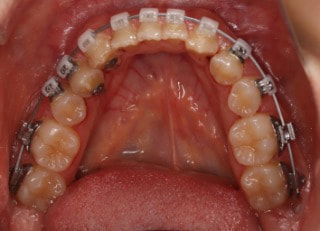
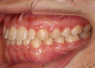
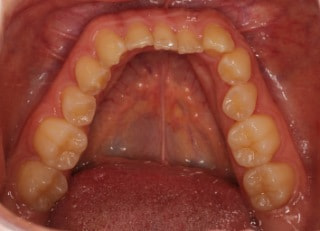
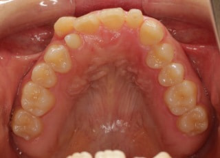
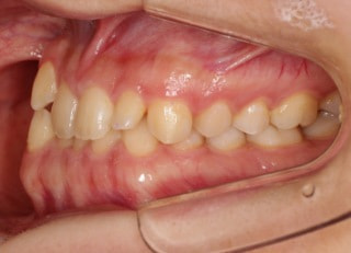
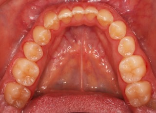
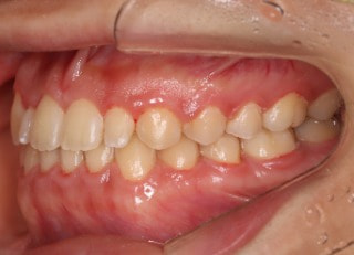
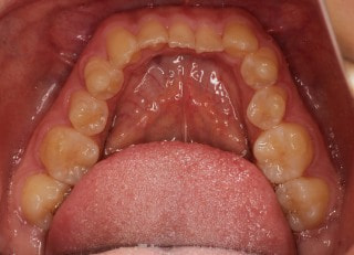
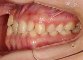
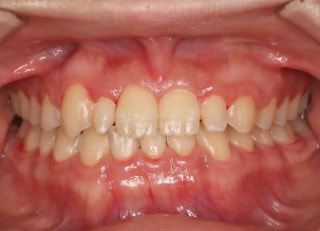
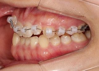
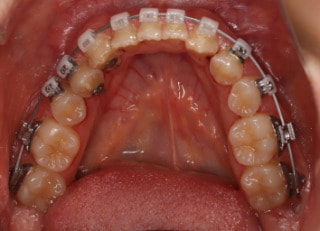
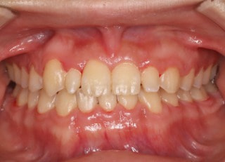
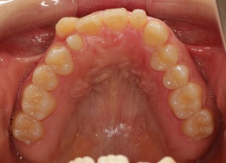
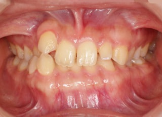
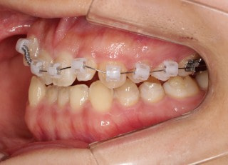
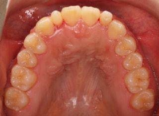
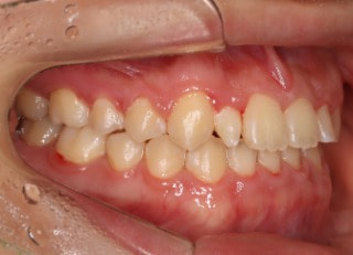
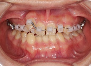
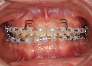
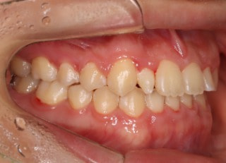
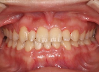
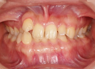
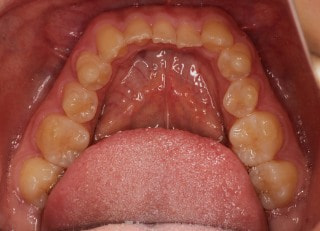
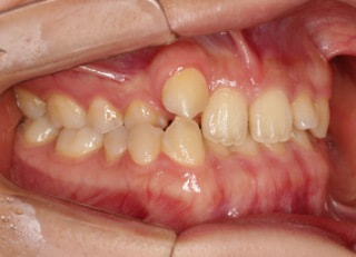
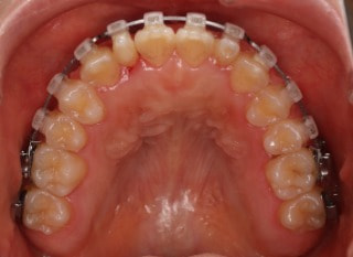
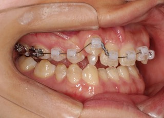
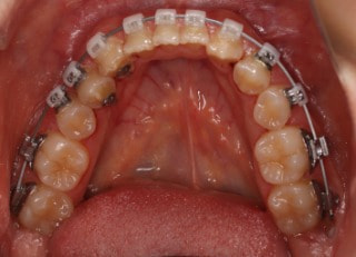
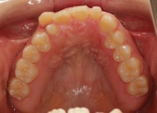
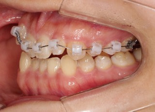
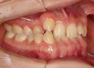
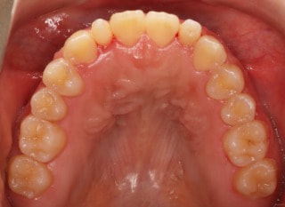
症例紹介

上顎2番矮小歯右下2番先天欠如

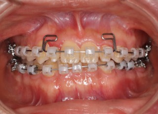
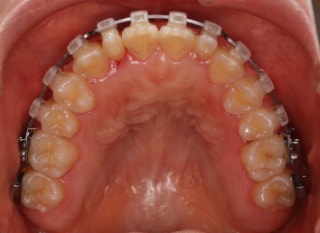
治療法:フルパッシブブラケット:T21

解説:下顎前突上顎劣勢長傾向で、上顎両側2番が矮小歯、右下2番先天欠如症例なので、上下前歯の幅径の比率を調節する必要があるケースです。(ご本人のご都合で治療中に来院できない期間がありました)

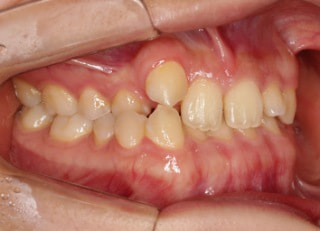
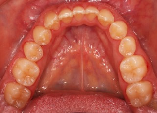
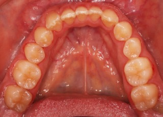
治療前





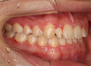
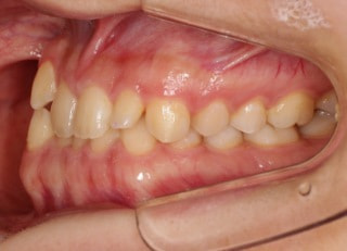
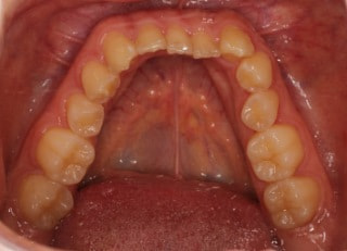
治療後(2年11ヶ月後)





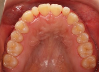
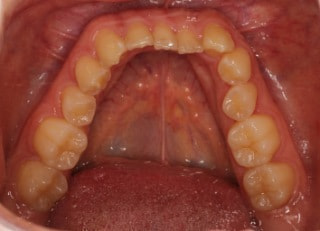
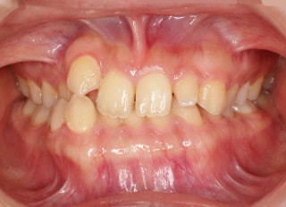
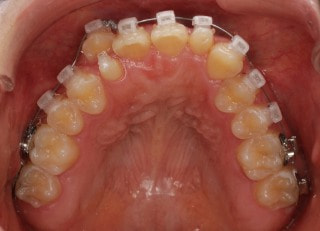
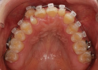
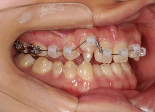
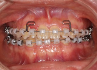
治療開始時





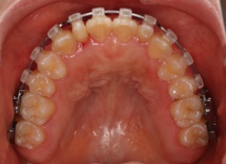
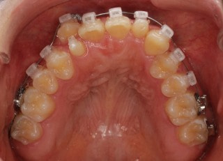
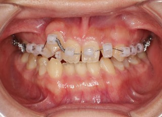
治療開始から25ヶ月後