矯正治療について

白石矯正歯科では、

矯正治療で歯を移動させる際に生じる摩擦を軽減させ
「痛い」「治療が長い」「咬めない」等
の従来の矯正治療のデメリットを解消する為に
開発されたT21を使用する『フルパッシブ矯正』で行います。

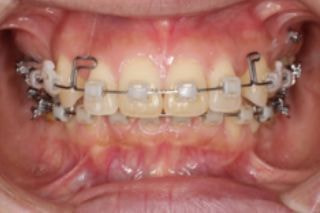
ブラックトライアングルが改善

フルパッシブ矯正は「歯肉の退縮」と「ブラックトライアングル」の発生が改善します。

小児期の矯正

子供の矯正は顔の成長ピークにあわせて行う、期間が限られたやり直しのきかない重要な治療です。

フルパッシブ矯正

ワイヤーがブラケットの溝(スロット)内で自由に動くき、摩擦を最小限に抑えられる治療です。

白石矯正歯科では
フルパッシブ矯正を行っています。

 
当院では、患者さまの快適さと治療効果を両立するために、最新技術であるフルパッシブ矯正を採用しています。この矯正方法は、ワイヤーとブラケットの摩擦を最小限に抑える設計により、従来の矯正装置とは一線を画す治療体験を提供します。以下に、フルパッシブ矯正が選ばれる理由をご紹介します。
 

1. 痛みと不快感を軽減

フルパッシブ矯正は、歯に加わる力を最適化することで、治療中の痛みや不快感を大幅に軽減します。摩擦がほとんどないため、弱い力で効率的に歯を移動させることが可能です。「矯正治療は痛い」というイメージを覆す、新しい治療体験をお届けします。
 

2. 歯周組織に優しい治療

過剰な力がかからないため、歯周組織への負担を抑え、歯肉退縮や歯槽骨のダメージを防ぎます。治療後の歯の安定性も高く、将来的な後戻りを最小限にします。特に、顎の骨が華奢な方や歯周病のリスクがある方にも適した治療法です。
 

3. 効率的でスムーズな歯の移動

摩擦が少ない構造により、効率的に歯が動くため、治療期間が短縮される傾向があります。これも患者様にとって負担が少ないといえる治療法です。
 

4. 見た目にも配慮した設計

フルパッシブ矯正では真っ白のジルコニアブラケットで目立たないように小型化され、乳白のキャップカバーをかけるという、見た目にも配慮された設計になっています。

フルパッシブ矯正の特徴と仕組み

 

摩擦大幅カットの仕組み

フルパッシブ矯正では、ワイヤーをブラケットスロットに入れるためにキャップを用いますが、これらがワイヤーを締め付けない構造になっています。そのため、ワイヤーがスロット内で自由に動き、摩擦がほとんど発生しません。ブラケットスロット内の摩擦が少ないため、ワイヤーから歯への力がスムーズに伝わります。これにより、弱い力で効果的に歯を移動させることができます。歯が固定されないので治療中は生理的な状態で、過剰な力がかからず、歯周組織に優しい治療が行えます。これにより、痛みや不快感が軽減されるとともに、治療後の安定性も高まります。

フルパッシブ矯正は、以下のような方に適しています。

 

  • 歯周組織へのダメージを抑えたい人(例:中高年や小児)
  • 矯正中の痛みを最小限にしたい人
  • 生理的な治療を求める人
  • ブラックトライアングルや歯肉退縮のリスクを減らしたい人
「ほんとうに必要な矯正を、正直に。」

白石矯正歯科

〒101-0024 東京都千代田区神田和泉町1-2-19 石井ビル3F
※1階がドトールコーヒーのビルです。
TEL 03-3866-8760
診療時間:10:00~18:30/診療日:月火水金土

受付時間
10:00-12:00
14:00-18:30

HOME > 矯正治療について