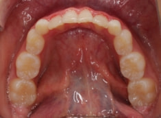
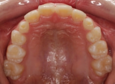
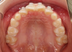
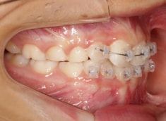
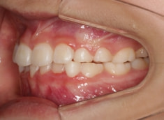
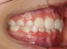
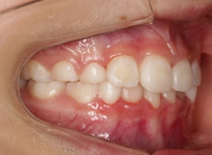
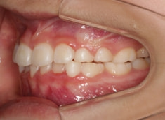
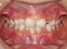
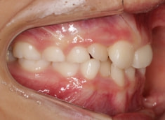
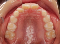
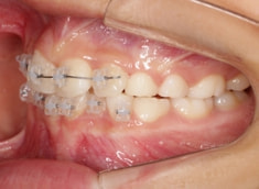
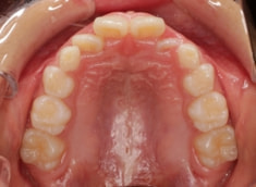
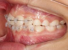
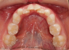
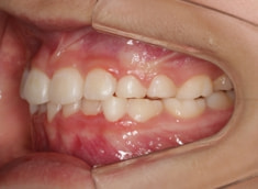
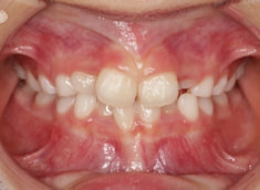
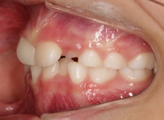
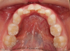
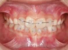
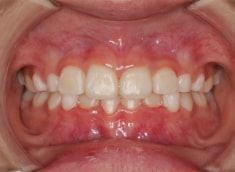
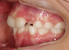
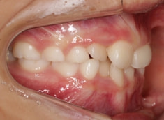
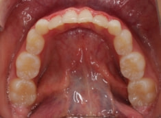
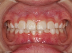
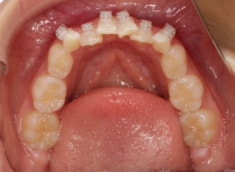
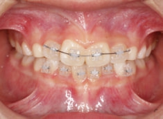
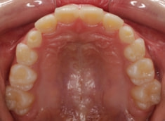
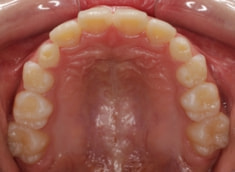
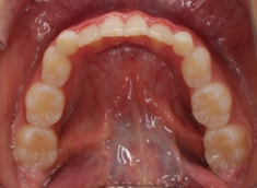
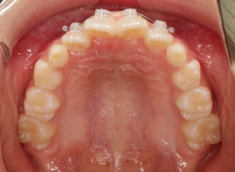
症例紹介

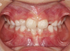
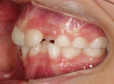
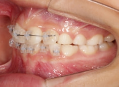
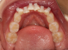
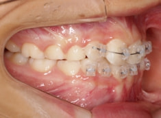
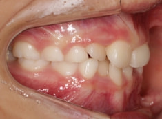
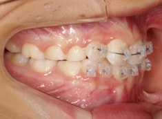
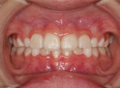
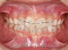
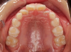
小児期ケース:叢生(ガタガタ)

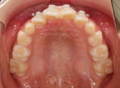
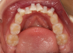
治療法:拡大プレート+フルパッシブブラケット(クリアスナップ)

治療前









治療後(1年3ヶ月後)









治療中