白石矯正歯科について
マニフェスト
院長紹介
アクセス・診療カレンダー
治療費について
衛生管理
国際基準の滅菌
治療の流れ
矯正治療について
ブラックトライアングルの改善
小児期の矯正
フルパッシブ矯正
症例紹介
採用
初めての患者様はこちら
白石矯正歯科について
マニフェスト
院長紹介
アクセス・診療カレンダー
治療費について
衛生管理
国際基準の滅菌
治療の流れ
矯正治療について
ブラックトライアングルの改善
小児期の矯正
フルパッシブ矯正
症例紹介
採用
初めての患者様はこちら
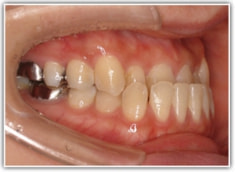
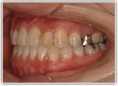
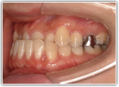
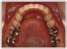
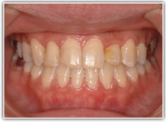
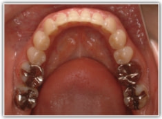
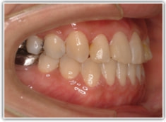
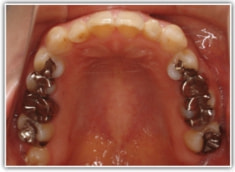
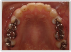
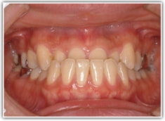
症例紹介
反対咬合ケース
治療法:表の矯正(T21ブラケット)
治療前
治療後(1年6ヶ月後)
症例一覧に戻る