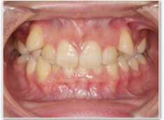
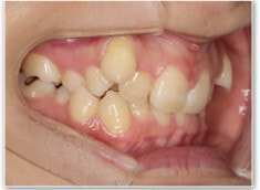
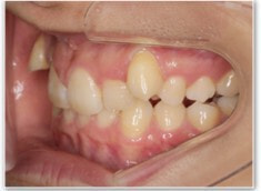
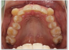
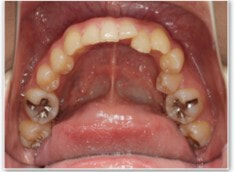
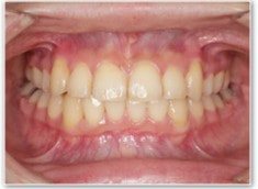
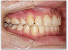
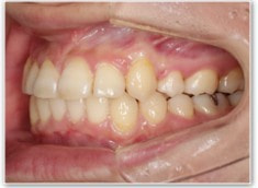
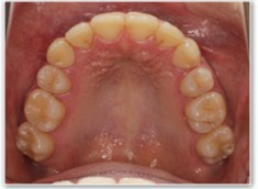
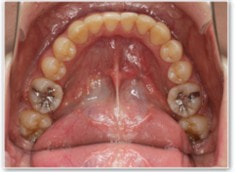
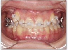
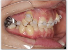
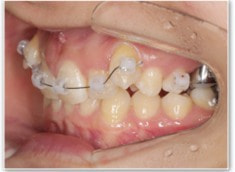
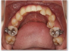
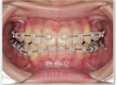
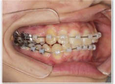
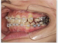
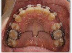
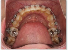
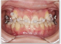
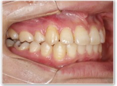
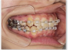
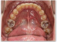
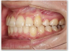
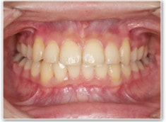
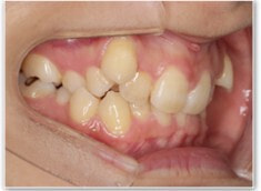
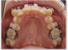
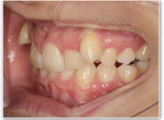
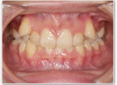
過蓋咬合(ディープバイト)ケース
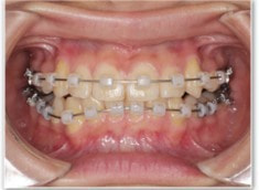
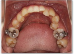
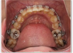
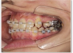
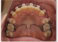
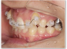
治療法:T21
治療前
 
 
                 
 
                 
 
                 
 
                 
 
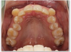
                治療後
 
 
                 
 
                 
 
                 
 
                 
 
                治療開始時
 
 
                 
 
                 
 
                 
 
                 
 
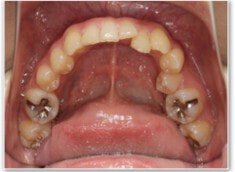
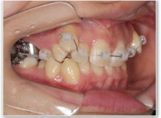
                治療開始から1年後
 
 
                 
 
                 
 
                 
 
                 
 
                 
 
               
 
               
 
            
 
           