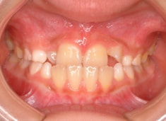
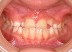
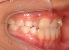
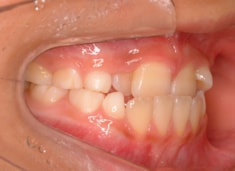
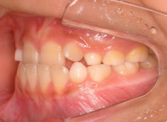
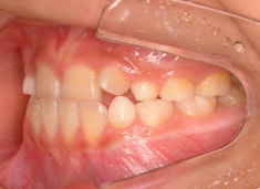
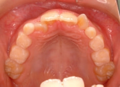
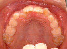
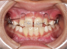
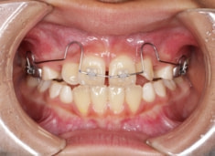
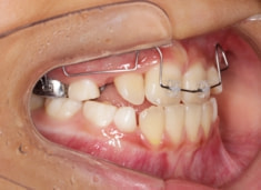
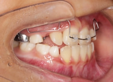
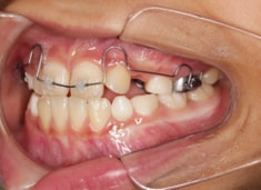
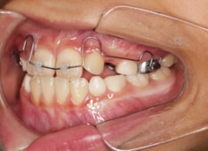
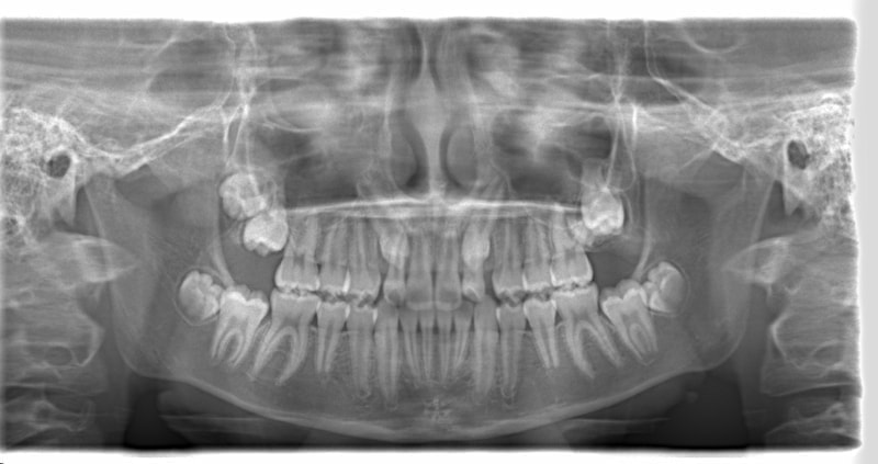
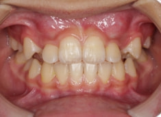
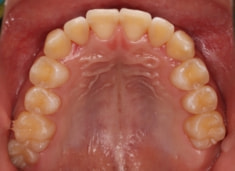
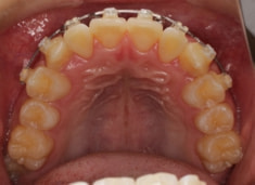
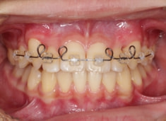
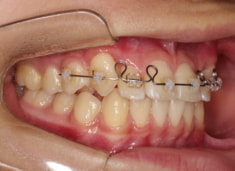
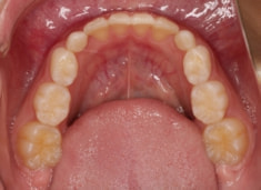
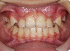
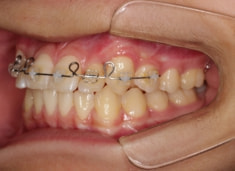
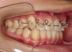
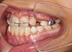
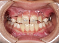
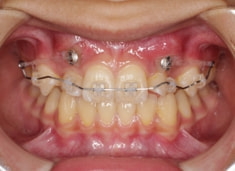
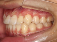
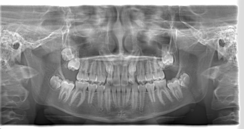
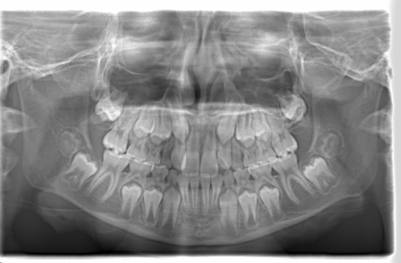
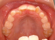
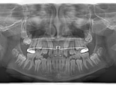
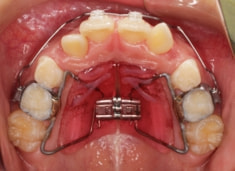
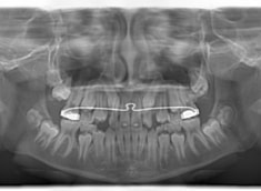
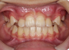
小児期ケース:反対咬合+上顎両側3番埋伏歯
(受け口+3番目の永久歯が左右両方とも埋まってしまい、はえてこない)
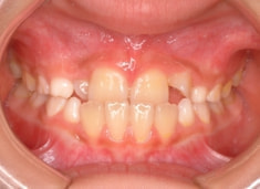
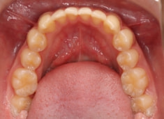
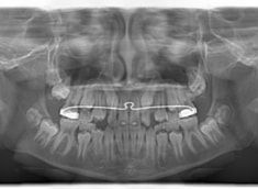
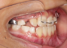
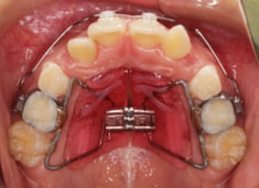
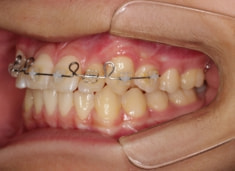
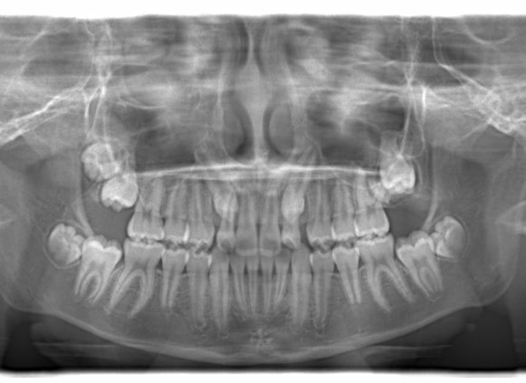
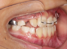
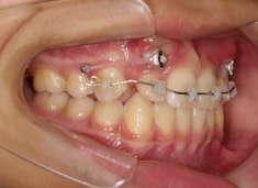
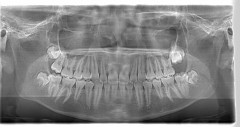
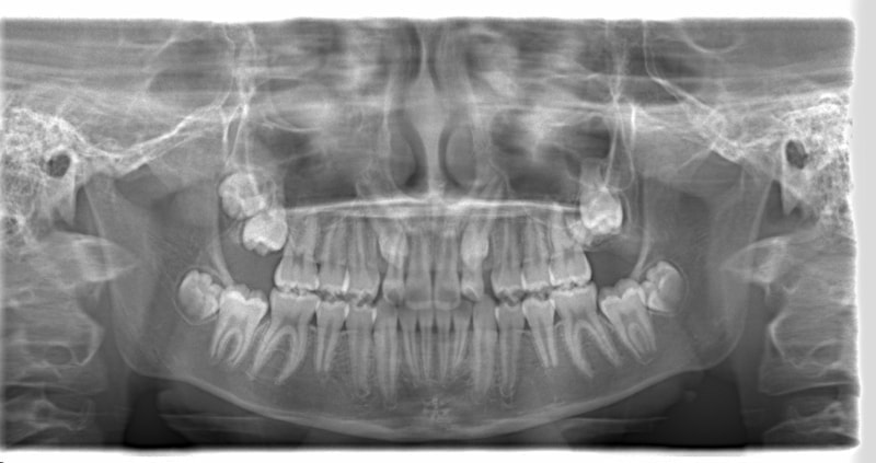
治療法:上顎急速拡大装置+クリアスナップ+フェイスマスク+上顎3番は開窓牽引CT写真にて位置確認
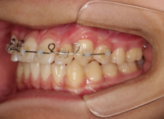
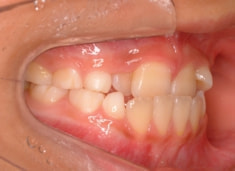
(難症例のため、小児期の矯正を2段階に設定しました)
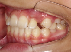
難症例ではありますが、誰でもなりえる一般的によくある症例です。
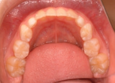
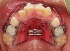
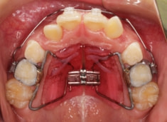
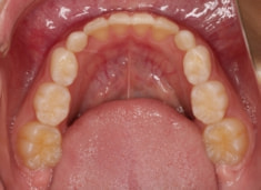
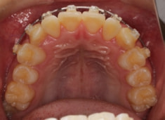
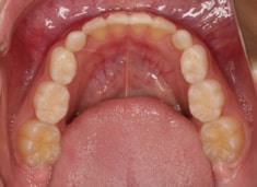
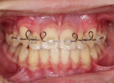
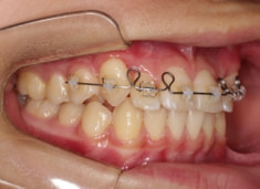
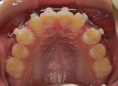
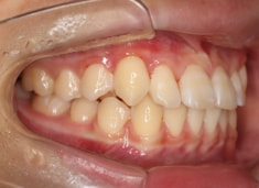
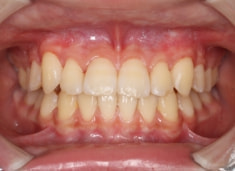
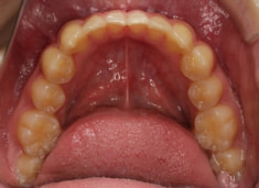
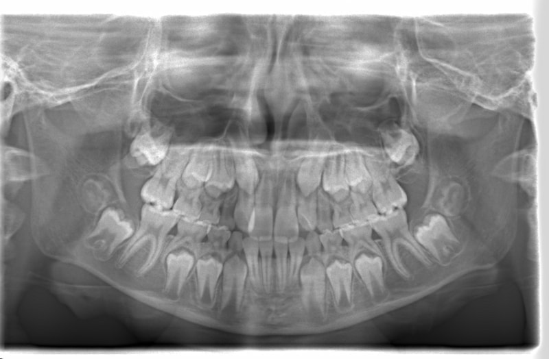
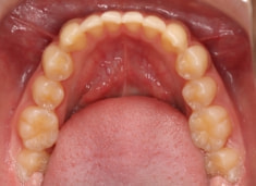
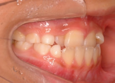
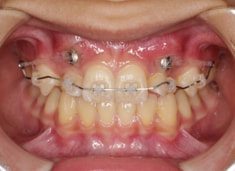
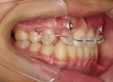
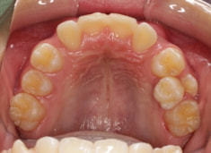
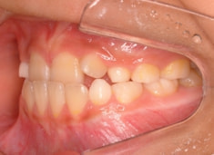
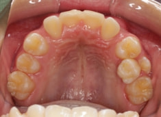
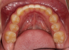
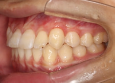
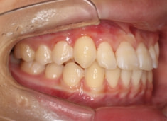
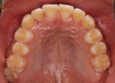
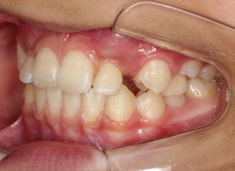
治療前









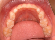
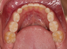
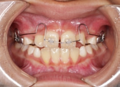
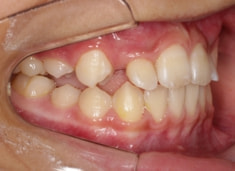
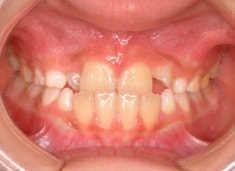
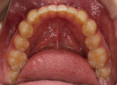
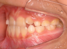
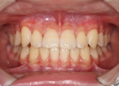
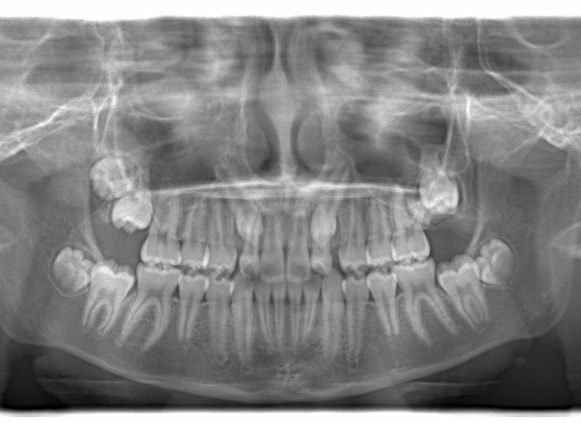
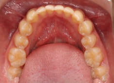
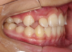
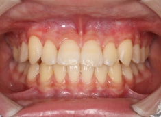
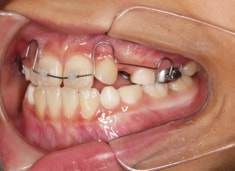
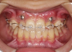
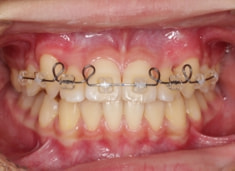
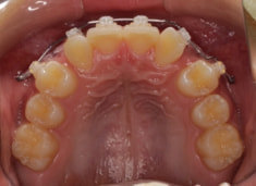
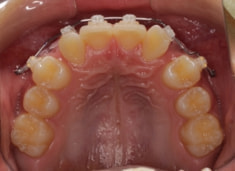
治療開始時





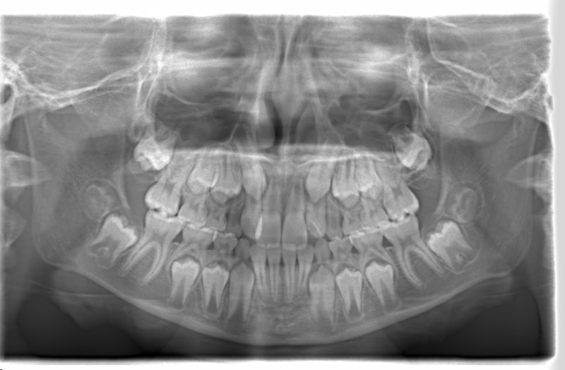
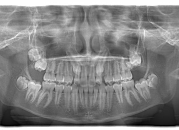
FX(フェイシャルアキシス)は85度なので東洋人の平均値に近く、下顎が前方に過剰成長するリスクは強くはありません。
しかしやはり上顎は劣成長で、下顎が優位な状態ではあります。

上下顎のギャップはありますが、顔面自体の幅径は良好な値を示していますので、スペース不足は拡大することによって解決できポテンシャルはあると考えられます。
左右の非対称もさほど強くありません。

骨年齢は実年齢よりも低めなので、今後下顎の旺盛な成長が見込まれます。

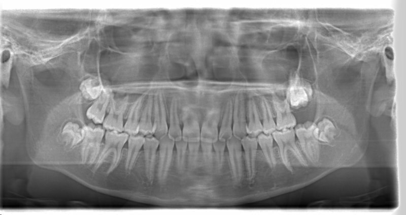
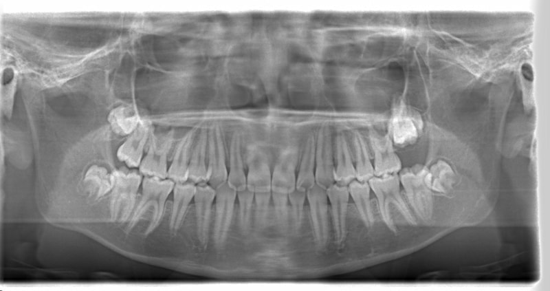
検査時のレントゲン分析では、上下顎の関係は、上顎の劣成長があり下顎前突傾向という値がでておりましたが、前歯ジャンプ後はフェイスマスクの効果もあり、上下顎の関係は正常化しています。
上顎が若干優位になっていますので、今後の下顎の成長のための貯金になっているくらいです。
