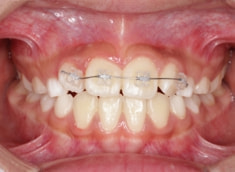
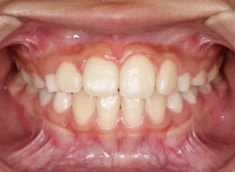
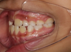
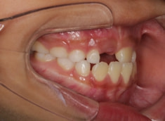
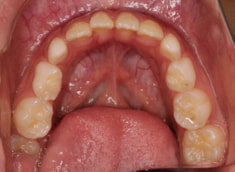
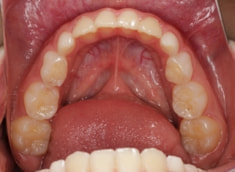
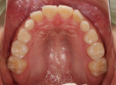
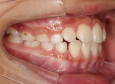
症例紹介

小児期ケース:反対咬合(受け口)

治療法:上顎拡大装置+フルパッシブブラケット(クリアスナップ)+フェイスマスク等

治療期間:1年11ヶ月(一時治療中断期間あり)

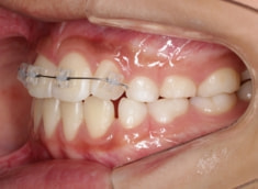
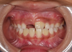
治療前








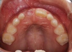
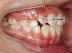
治療後(1年11ヶ月後)









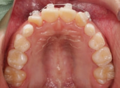
治療中