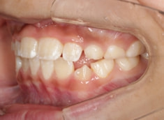
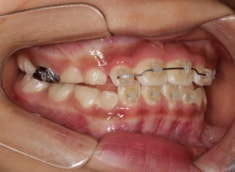
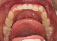
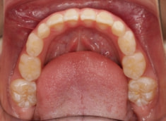
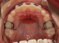
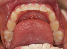
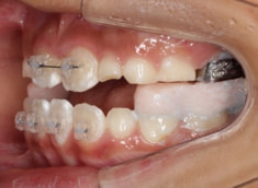
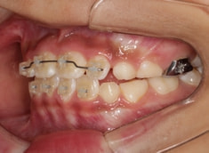
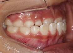
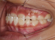
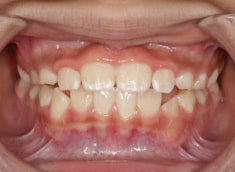
小児期ケース:反対咬合(受け口)
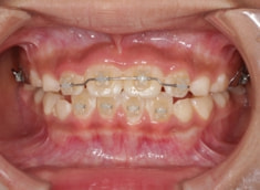
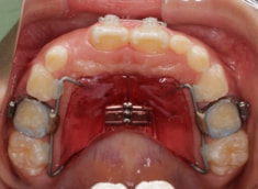
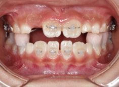
治療法:上顎拡大装置+フルパッシブブラケット(クリアスナップ)+フェイスマスク等+Tongue upトレーニング
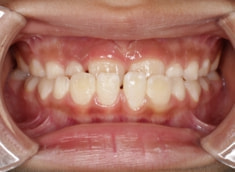
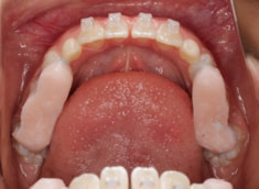
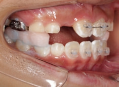
治療期間:1年4ヶ月
治療前
 
                
 
                
 
                
 
                
 
                
 
                
 
                
 
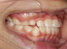
                治療後(1年4ヶ月後)
 
                
 
                
 
                
 
                
 
                
 
                
 
                
 
                
 
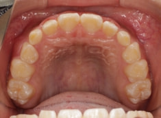
                治療開始時
 
                
 
                
 
                
 
                
 
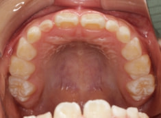
                治療開始から約9ヶ月後