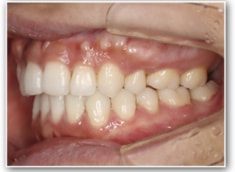
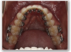
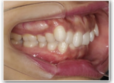
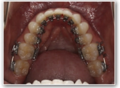
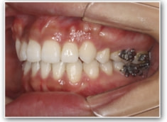
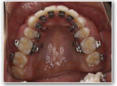
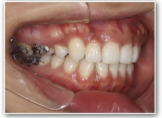
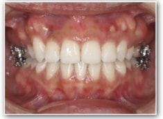
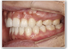
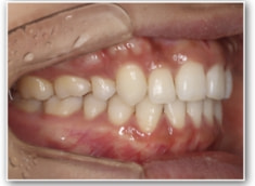
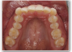
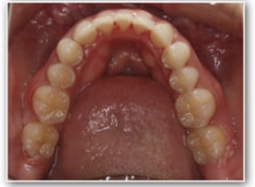
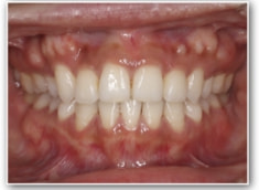
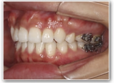
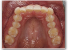
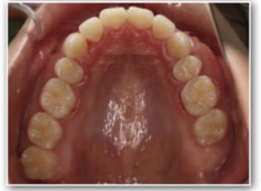
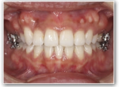
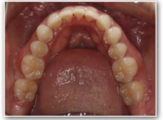
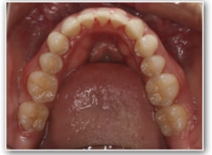
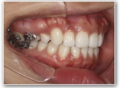
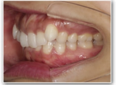
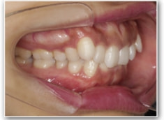
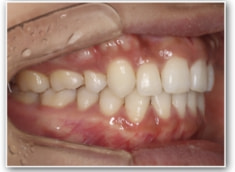
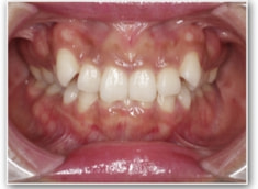
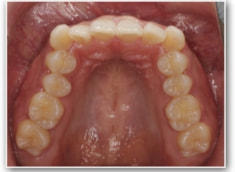
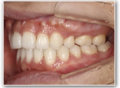
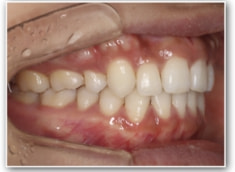
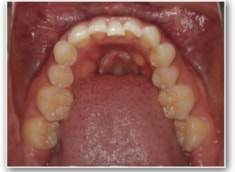
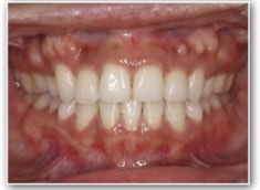
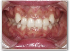
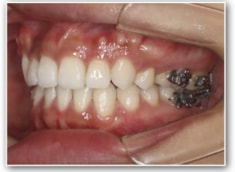
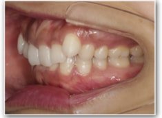
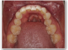
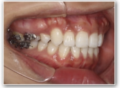
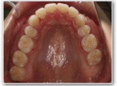
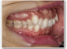
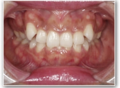
叢生+左下1番先天欠如ケース
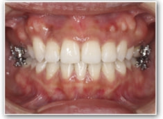
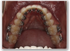
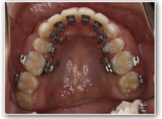
治療法:裏側の矯正(リンガルブラケット:舌側矯正)
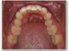
治療前
 
                
 
                
 
                
 
                
 
                
 
                
 
                
 
                
 
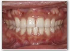
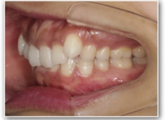
                治療後
 
                
 
                
 
                
 
                
 
                
 
                
 
                
 
                
 
                治療開始1年後