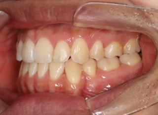
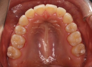
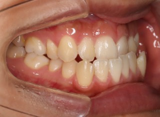
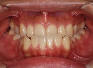
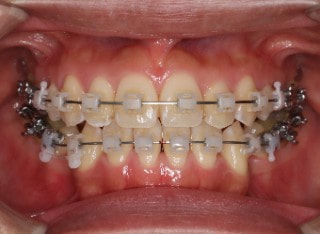
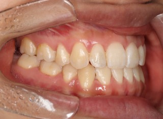
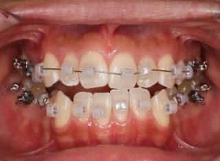
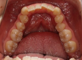
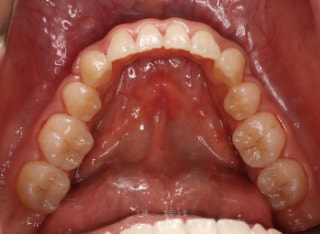
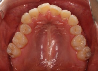
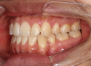
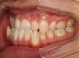
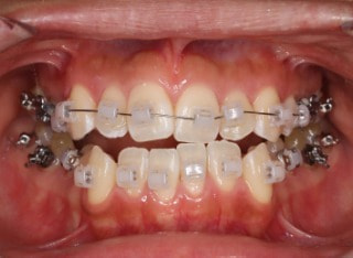
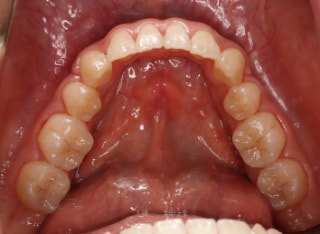
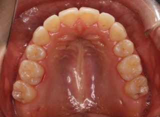
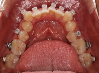
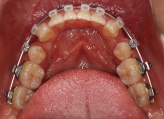
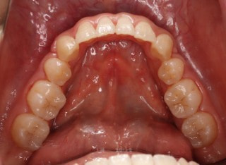
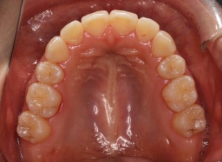
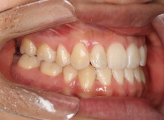
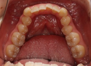
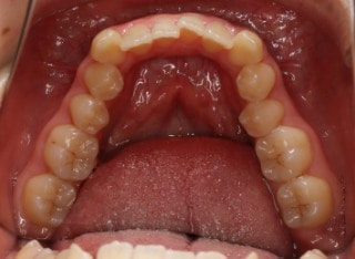
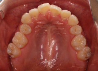
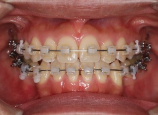
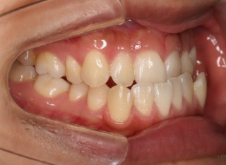
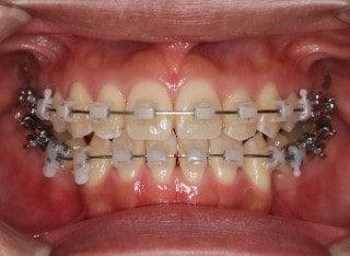
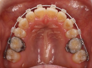
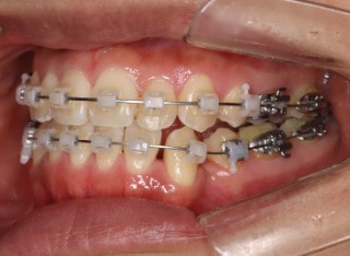
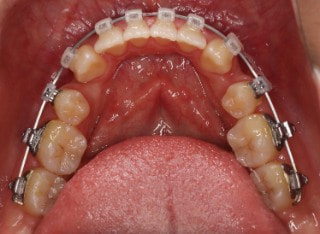
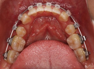
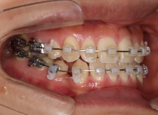
症例紹介

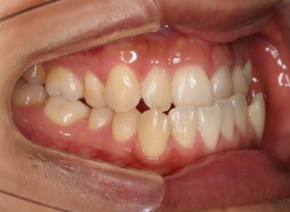
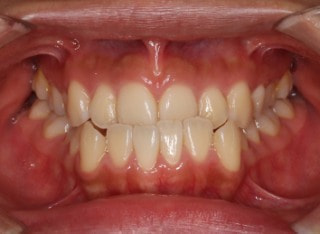
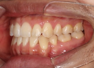
反対咬合ケース

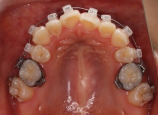
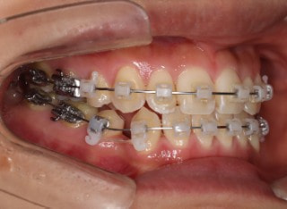
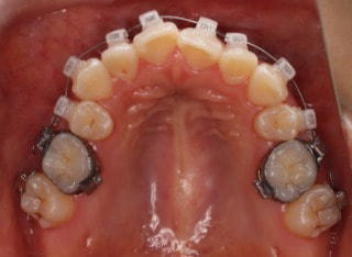
治療法:T21

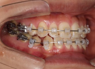
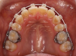
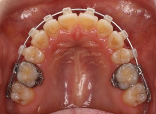
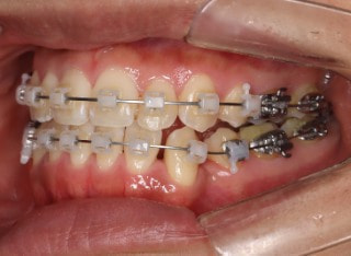
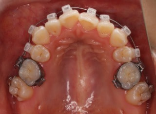
解説:反対咬合状態をまず最初に改善するために、装置装着時に咬合を持ち上げるマウントを下顎大臼歯部に築造しております。2ヶ月後には前歯のジャンプを確認しました。

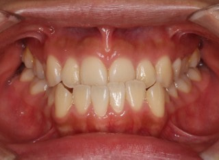
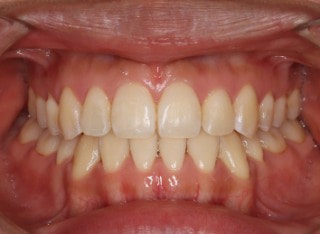
治療前









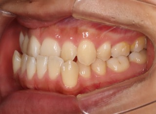
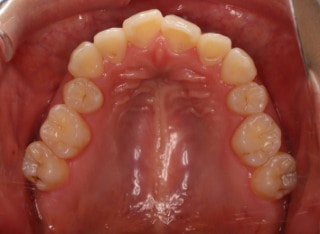
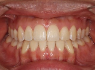
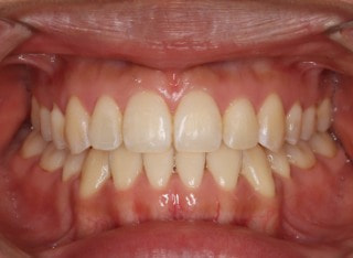
治療後









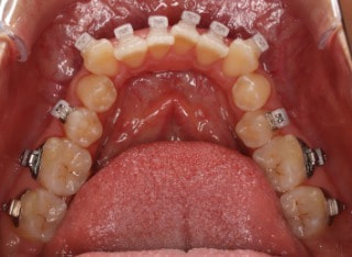
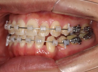
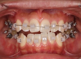
治療開始時





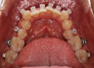
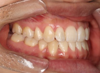
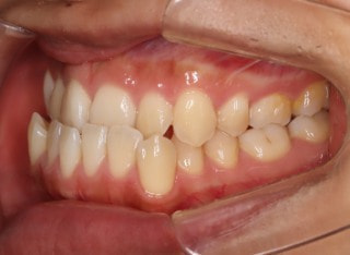
治療開始から5ヶ月後