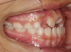
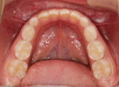
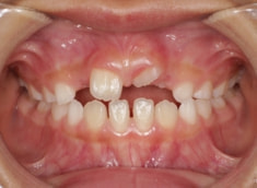
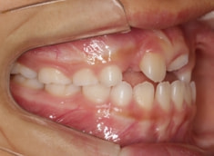
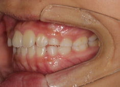
症例紹介

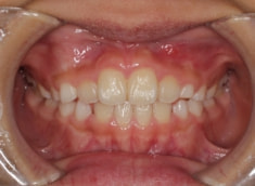
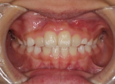
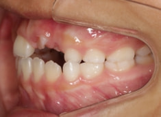
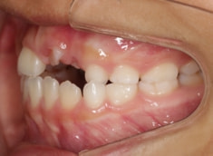
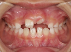
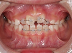
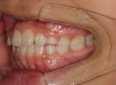
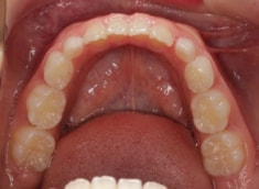
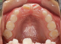
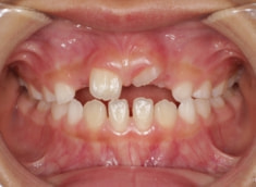
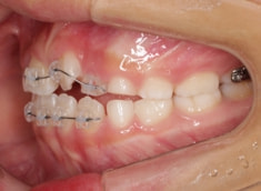
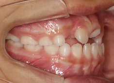
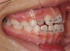
小児期ケース:オープンバイト+反対咬合

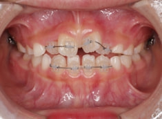
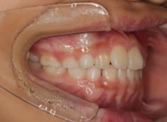
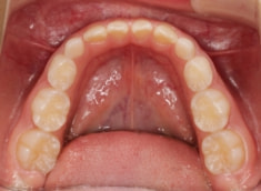
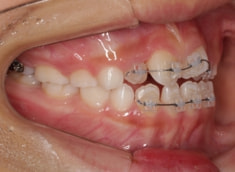
治療法:拡大装置+フルパッシブブラケット(クリアスナップ)+フェイスマスク+舌トレーニング+前歯部エラスティック

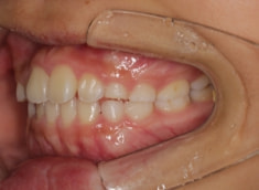
治療解説:オープンバイトケースにおいて、小児期に前歯の接触を獲得しておくことは、非常に大切なことです。

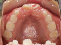
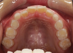
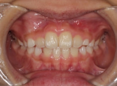
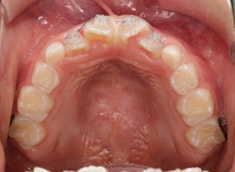
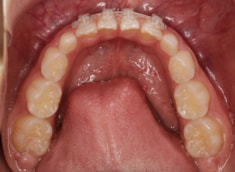
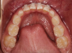
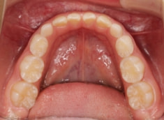
治療前









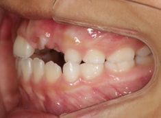
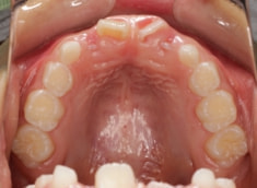
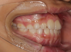
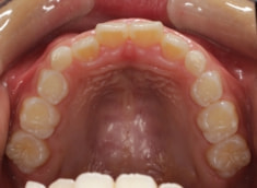
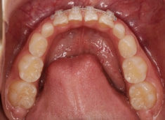
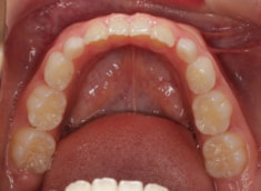
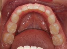
治療後(1年2ヶ月後)









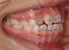
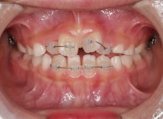
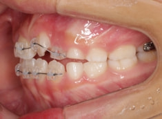
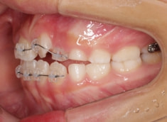
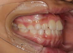
治療中