症例紹介

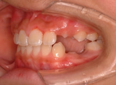
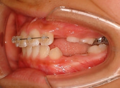
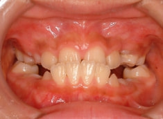
小児期ケース:反対咬合(受け口)

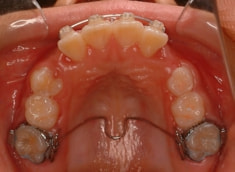
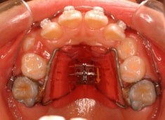
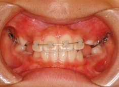
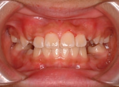
治療法:上顎拡大装置+フルパッシブブラケット(クリアスナップ)+フェイスマスク等

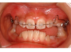
治療期間:12ヶ月
歯牙の大きさ(マテリアル)分析:偏差値55.2なので、歯のサイズは平均よりは大きめです。
治療分析:日本人の反対咬合や下顎前突は、上顎の劣成長を伴なうことがほとんどで、本ケースも上顎劣成長でしたので、上顎を側方拡大と前方に牽引しました。側方拡大方法は急速拡大で正中口蓋縫合の拡大を行い、同時に横口蓋縫合を剥がす効果があり、前方牽引の効果を促進します。

 

治療経過分析:

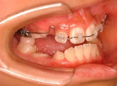
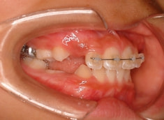
治療開始後3ヶ月で、すでに前歯がジャンプしていますが、ここで注意が必要です。これは前歯の傾斜で反対咬合が一時的に解消しているだけです。ここからしっかりとフェイスマスクを使用し、上顎の牽引をしなくてはいけません。
ジャンプしただけでは「治った」ことにはなりません。今後身長と一緒に伸びてくる下顎の成長に備える必要があります。
矯正治療は将来のための「予防」ですので、その場限りの「治った」という概念は適当ではないんですよね。

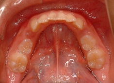
治療前








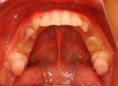
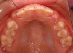
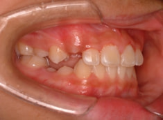
治療後(12ヶ月後)








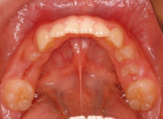
治療開始時





治療開始から約3ヶ月後








検査時のセファロ分析側貌

日本人の典型的なパターンである、上顎劣成長が顕著で、下顎骨体自体も大きめです。
鼻閉、LowTongue(低位舌)あり。
Facial Axis(顔の成長方向):87.7°なので、今後下顎前突傾向は平均レベルで済むと予測されます。(FXの日本人平均値は86°)

側貌と比較して、鼻腔、顎骨幅径、顔面幅径など、水平的な顔の幅はさほど狭くない傾向にあります。
反対咬合症例によくある鼻閉症状があまりないのも、この幅径のおかげでしょう。
上下の歯牙傾斜などのギャップも少なめです。
左右非対称も少ないです。

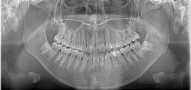
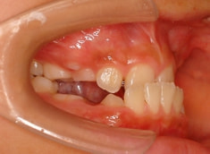
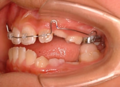
上顎の劣成長が顕著なので、上顎犬歯の萌出するスペースが不足しています。
また、統計通り、左上の犬歯です。

手根骨レントゲン分析結果:

口腔内やセファロ分析とは違い、今後の下顎の旺盛なgrowth(成長)を示唆しない像です。家族歴から考えても、極端に高身長ではないと予測されるので、将来外科矯正ケースになるリスクは実はさほど高くないと考えました。

2年後の顔面成長予測シミュレーション重ね合わせ

2年後の顔面成長予測シミュレーション

最診断時のセファロ分析:

リケッツ分析の統計上、男児は18才まで顔面の成長があるので、それまで経過観察を行いました。
検査時に予測した通り、骨格的下顎前突の要素はあまり発現しないで済みました。一期治療で反対咬合を解消しておいたことと、舌などの機能訓練に真面目に取り組んでいただけたことも良い要因であったと思います。
外科矯正も回避できて、さらに非抜歯で本格矯正を行うことができると診断し、現在2期治療中です。

下顎前突症例によくある顕著な顔面非対称もなく、幅径も良好な状態です。
少し大臼歯の傾斜が認められます。

上顎8番は先天欠如、下顎8番は埋伏しております。
歯根のパラレリング(平行性)も悪くなく、上顎洞、顎関節にも異常所見はありません。

セサモイドボーンも認められ、家族歴からも、今後の旺盛な下顎の成長の恐れがないと思われる所見です。