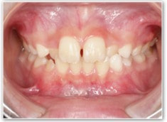
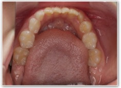
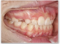
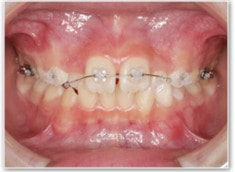
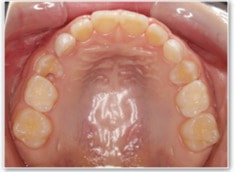
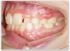
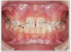
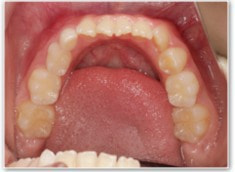
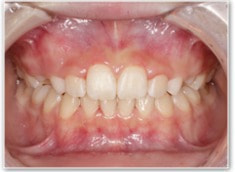
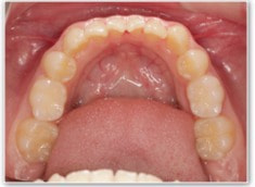
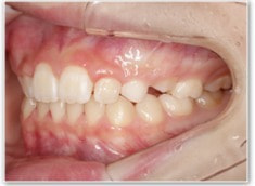
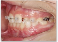
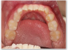
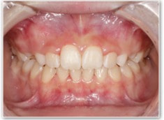
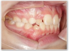
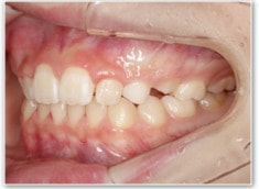
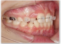
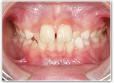
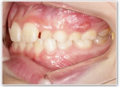
症例紹介

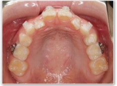
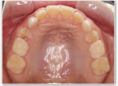
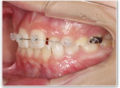
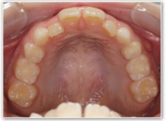
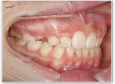
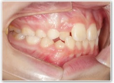
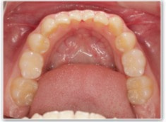
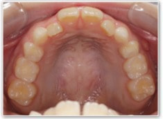
小児期ケース:叢生(ガタガタ)

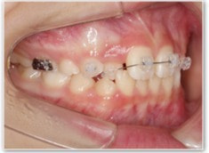
治療法:拡大プレート+フルパッシブブラケット(クリアスナップ)

治療前









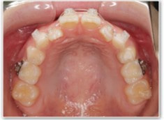
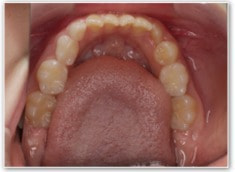
治療後(8ヶ月後)









治療中