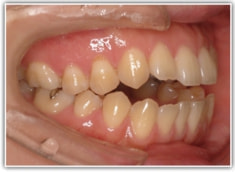
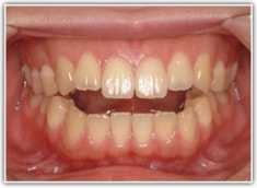
開咬(かいこう:オープンバイト)ケース
治療法:表の矯正(T21ブラケット)
(インプラントアンカーや外科矯正は行わず、エラスティックと機能訓練のみ)
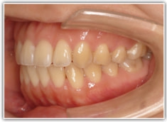
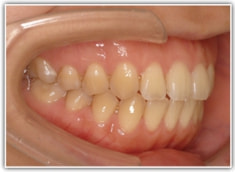
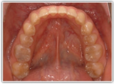
治療前





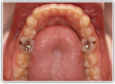
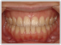
治療後(1年8ヶ月後)





検査時セファロ分析
かなり重度のオープンバイト症例です。骨格的な要素も強く出ております。通常であれば外科矯正適応のパターンですが、当院では矯正治療のみで、外科は行いません。

検査時セファロ分析正貌

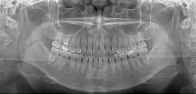
検査時レントゲンパントモ
現代人には珍しく8番(親知らず)が直立して萌出しています。

検査時顎関節レントゲン
関節頭に変形が認められます。

動的治療後セファロ分析
良好な咬合関係が認められます。





