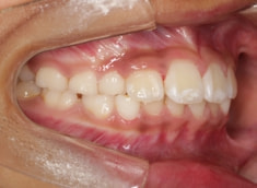
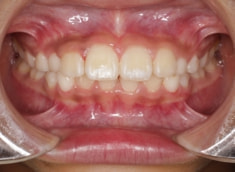
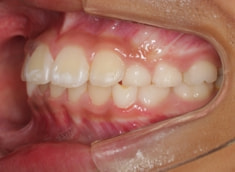
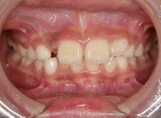
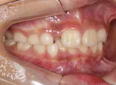
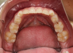
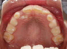
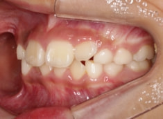
症例紹介

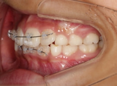
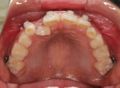
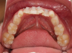
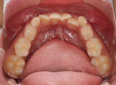
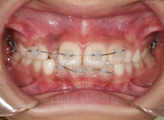
小児期ケース:叢生(ガタガタ)

治療法:拡大プレート+フルパッシブブラケット(クリアスナップ)

治療前









治療後(1年1ヶ月後)









治療中