症例紹介

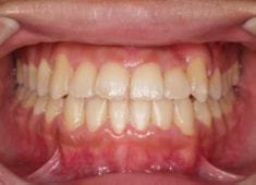
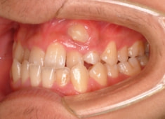
反対咬合+左上3番高位埋伏
(受け口+左上3番目の永久歯が上顎の中に埋まったままはえてきていない)

治療法:フルパッシブブラケット:T21

解説:残存している左上乳犬歯Cを抜歯し、そのスペースに左上3番を誘導しました。Cと犬歯ではスペースが足りないので、前歯をアドバンスさせ、反対咬合を同時に解消しております。

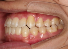
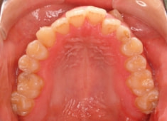
治療前










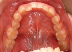
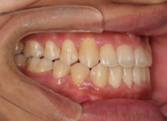
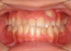
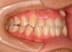
治療後(2年1ヶ月後)










検査時のセファロ分析側貌

上顎劣成長の値が出ています。顔面、下顎骨骨体自体は標準偏差1S.D.内に収まっています。

顔面と顎骨の幅径はある程度確保されているので、非抜歯が可能であると診断しました。

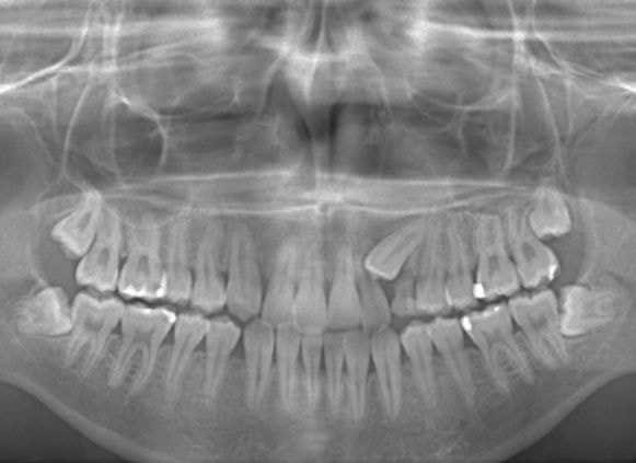
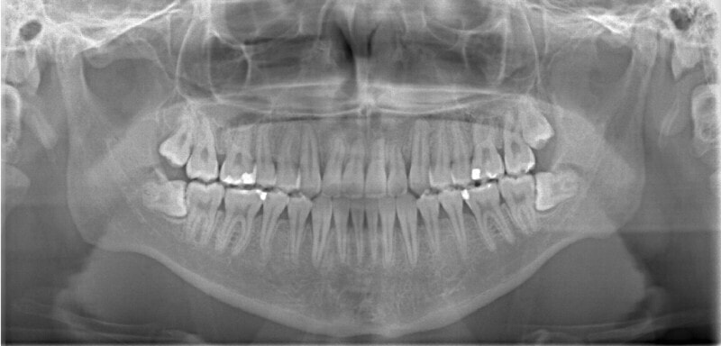
やはり統計通り、左上3番の埋伏です。
左上2番の歯根吸収が認められますが、保存不可能なレベルではありません。

成人の反対咬合なので、少し顎関節にダメージはありますが、重症ではありません。

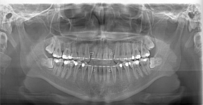
治療中のレントゲンです。

7番、8番の状態や歯根のパラレリング(平行性)をチェックしています。
左上2番の歯根の状態もなんとかもちそうです。
上顎劣成長症例ですが、鼻腔の状態も悪くありません。

治療後のセファロ分析です。

反対咬合の治療は、FX(フェイシャルアキシス)が開きやすいのですが、治療後も良好な値を保つことができました。FXがあまり開きすぎると、咬合力が落ちてしまいます。

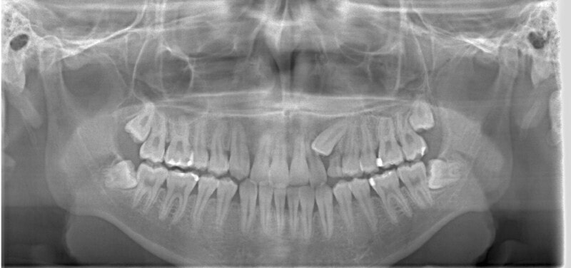
下顎の右側への偏位は解消されました。
大臼歯は整直されております。

歯根のパラレリングは良好です。

左上2番の歯根も問題なさそうです。
下顎8番は保定期間に入り、しばらくして咬合が安定してから抜歯する予定です。

特に左側の咬合時の顎関節の位置に改善が認められます。