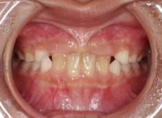
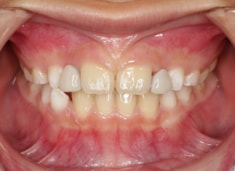
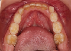
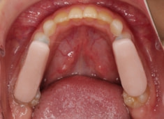
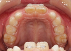
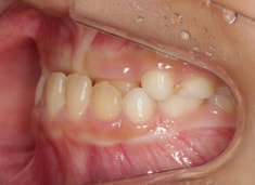
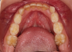
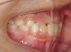
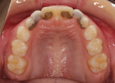
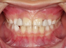
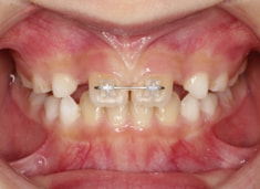
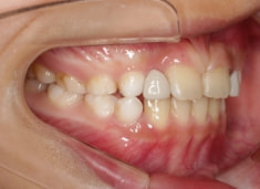
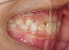
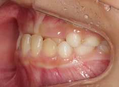
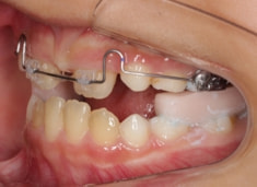
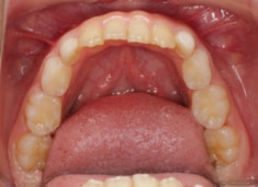
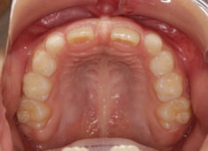
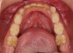
小児期ケース:上顎両側2番先天欠如+反対咬合
(2番目の永久歯が左右両方とも先天的に無い+受け口)
 
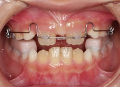
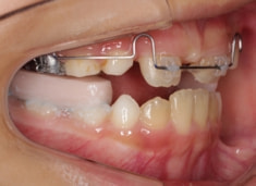
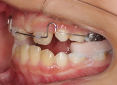
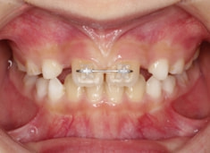
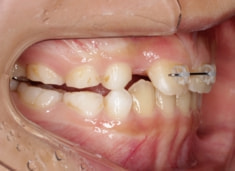
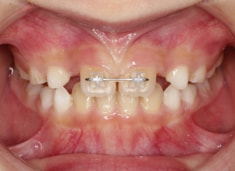
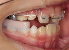
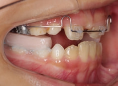
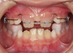
             治療法:拡大装置+フルパッシブブラケット(クリアスナップ)+フェイスマスク+上顎2番欠如部分は一時的ダミー補綴処置
治療解説:歯の先天欠如は近年非常に高い増加傾向にあると言われております。また欠如する部位も多くは決まっており、上顎2番、下顎2番、下顎5番などが多く見られるという統計結果が出ております。
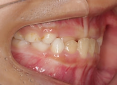
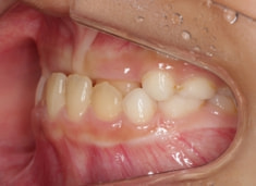
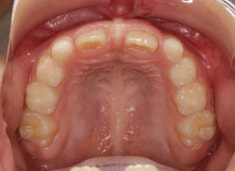
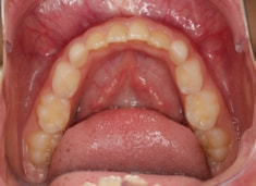
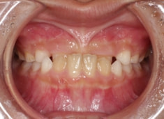
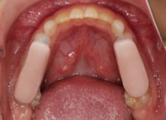
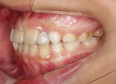
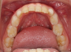
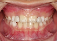
治療前
 
 
                 
 
                 
 
                 
 
                 
 
                 
 
                 
 
                 
 
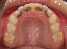
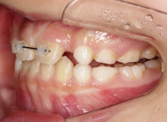
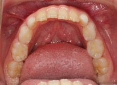
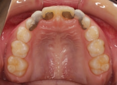
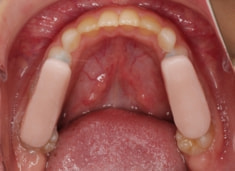
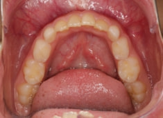
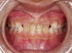
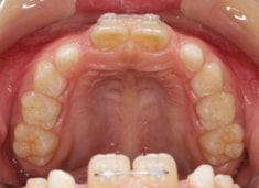
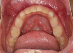
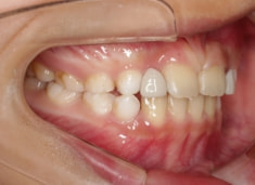
                治療後(1年2ヶ月後)
 
 
                 
 
                 
 
                 
 
                 
 
                 
 
                 
 
                 
 
                 
 
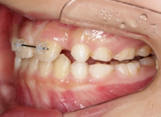
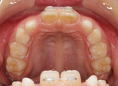
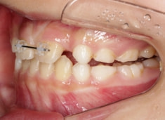
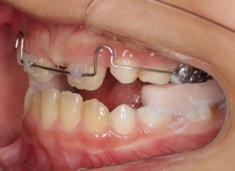
                治療開始時
 
 
                 
 
                 
 
                 
 
                 
 
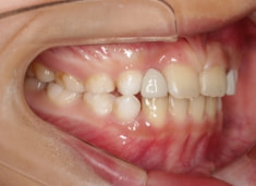
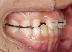
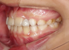
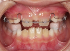
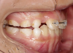
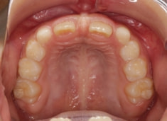
                治療開始から約5ヶ月後
 
 
                 
 
                 
 
                 
 
                 
 
                 
 
               
 
               
 
            
 
           