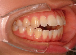
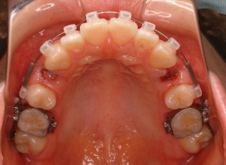
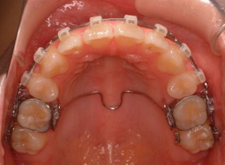
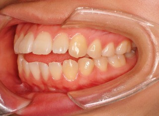
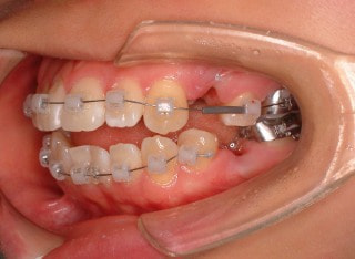
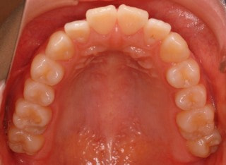
症例紹介

開咬(かいこう:オープンバイト)ケース

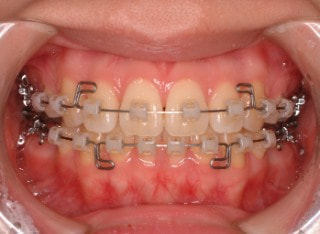
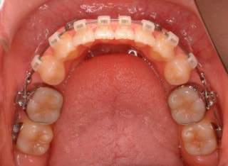
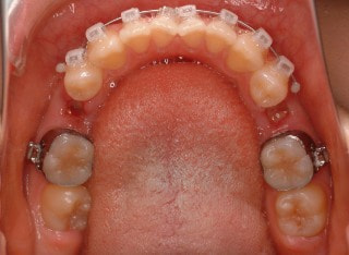
治療法:表の矯正(T21ブラケット)

小臼歯エラスティック+機能訓練(前歯部のエラスティックは使用してない)

治療前









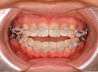
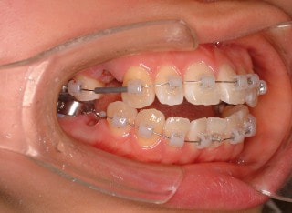
転医時(12ヶ月後)









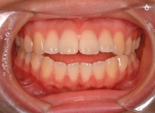
治療開始時