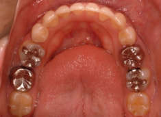
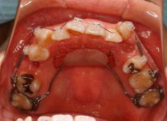
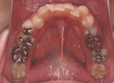
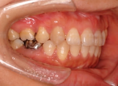
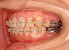
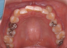
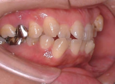
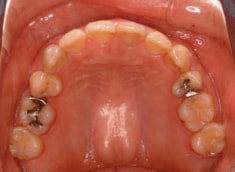
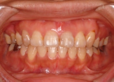
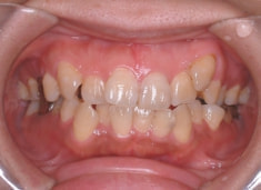
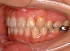
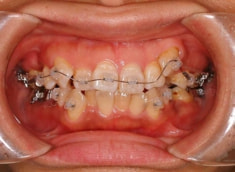
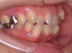
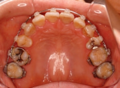
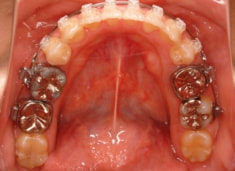
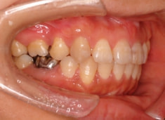
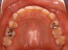
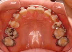
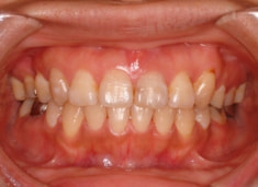
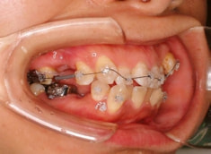
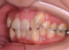
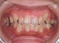
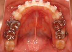
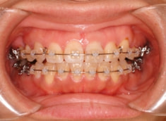
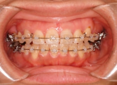
症例紹介

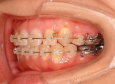
叢生(がたがた)ケース

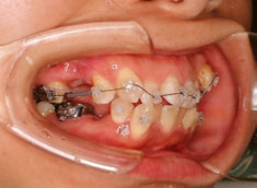
治療法:表の矯正(クリアスナップ)

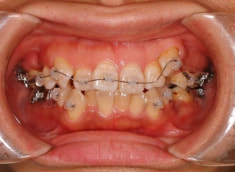
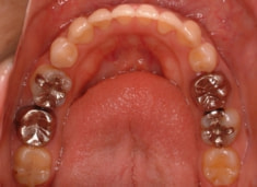
治療前









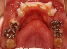
治療後(2年5ヶ月後)









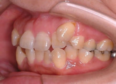
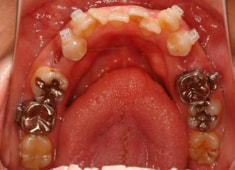
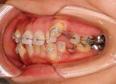
治療開始時





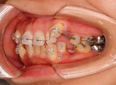
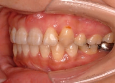
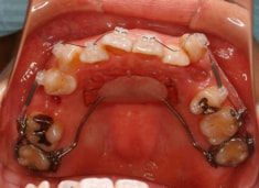
治療開始から約1年2ヶ月後