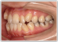
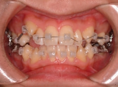
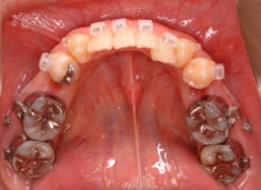
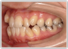
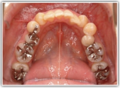
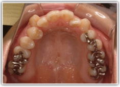
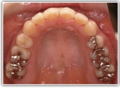
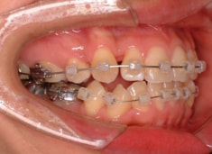
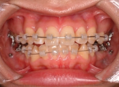
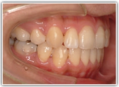
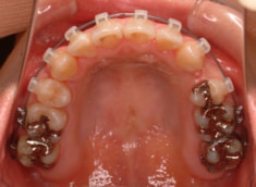
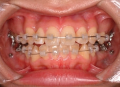
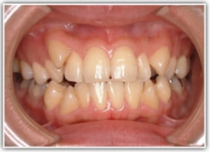
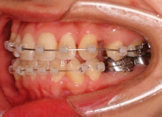
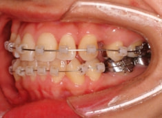
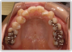
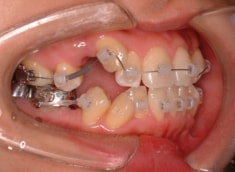
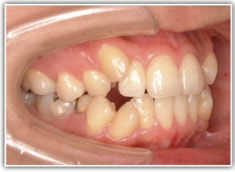
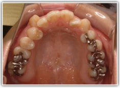
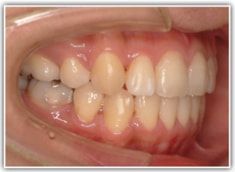
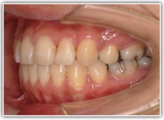
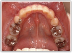
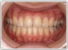
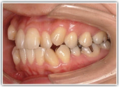
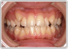
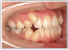
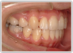
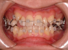
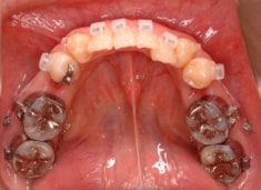
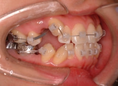
症例紹介

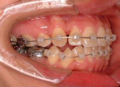
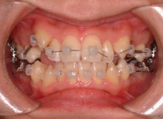
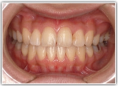
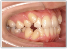
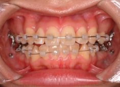
叢生(がたがた)ケース

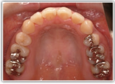
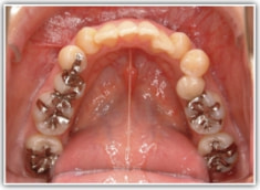
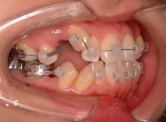
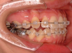
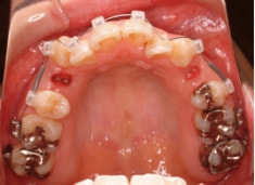
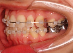
治療法:表の矯正(T21ブラケット)

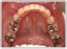
治療前









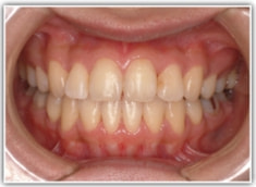
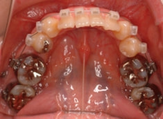
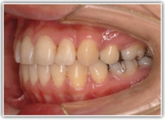
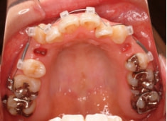
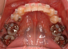
治療後(2年後)









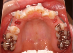
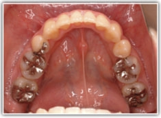
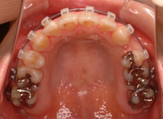
治療開始時





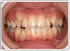
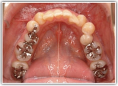
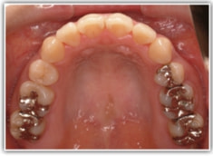
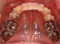
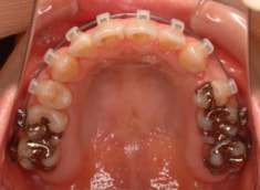
治療開始から約4ヶ月後