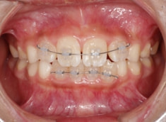
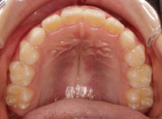
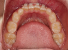
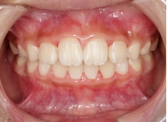
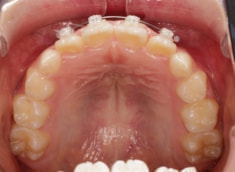
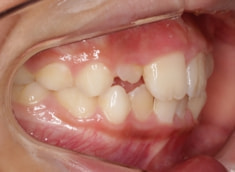
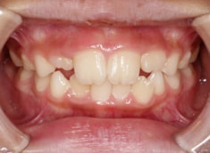
症例紹介

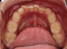
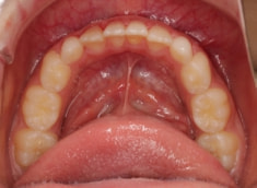
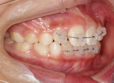
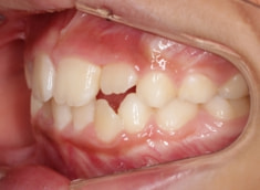
小児期ケース:叢生(ガタガタ)

治療法:拡大プレート+フルパッシブブラケット(クリアスナップ)

治療前








治療後(8ヶ月後)








治療中