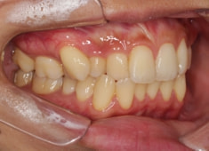
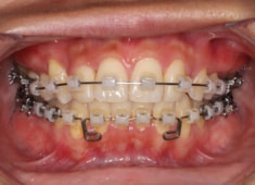
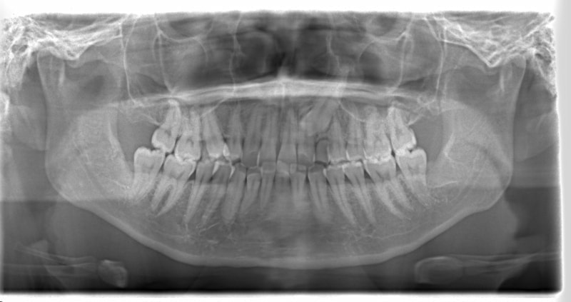
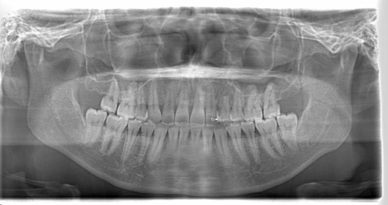
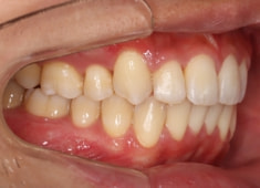
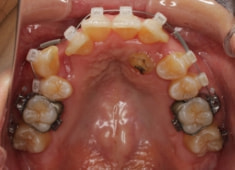
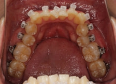
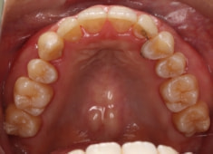
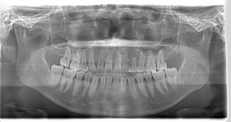
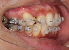
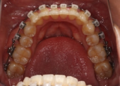
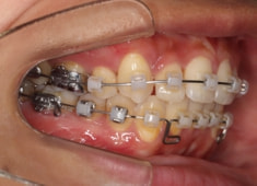
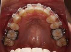
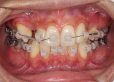
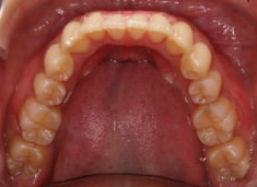
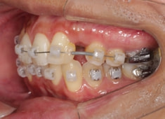
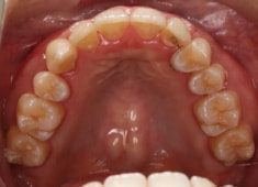
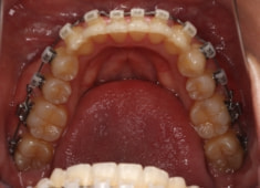
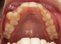
症例紹介

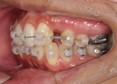
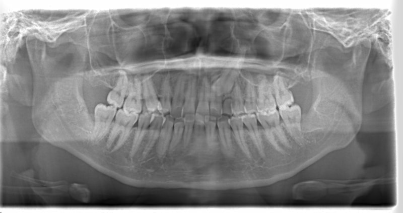
左上3番埋伏歯

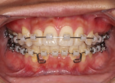
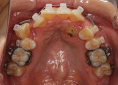
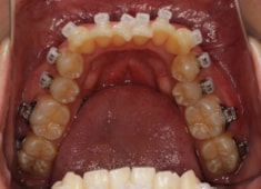
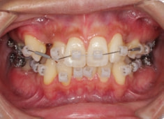
治療法:フルパッシブブラケット:T21

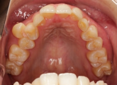
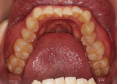
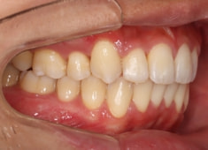
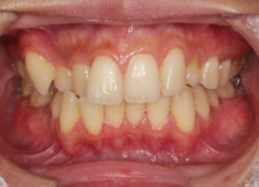
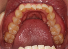
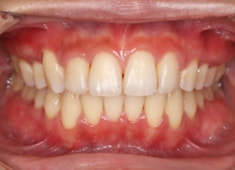
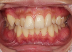
治療前










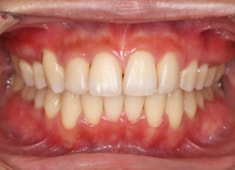
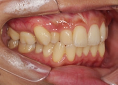
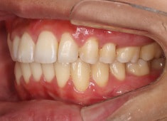
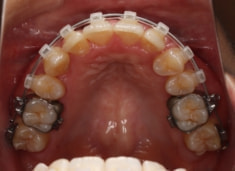
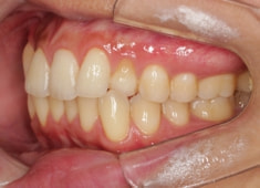
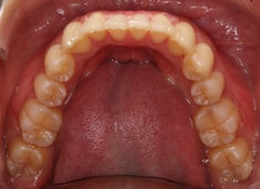
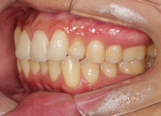
治療後(2年後)










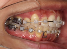
治療開始時





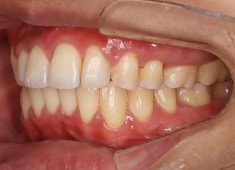
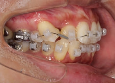
治療開始から24ヶ月後