症例紹介

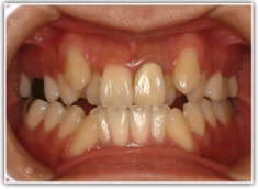
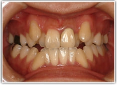
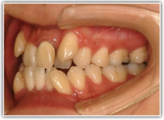
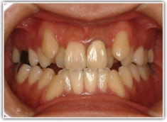
叢生(がたがた)ケース

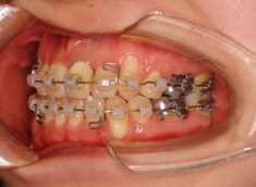
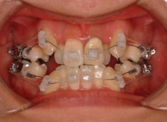
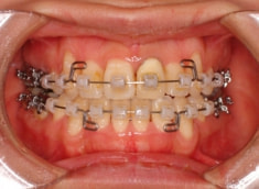
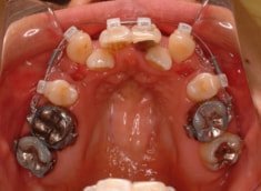
治療法:表の矯正(T21ブラケット)

ご出産のため治療中断期間あり
セファロ分析結果:上顎の劣成長と下顎の過成長が認められる値が出ています。重度の叢生といえます。

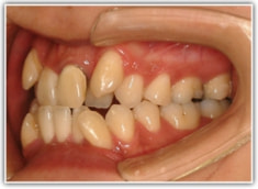
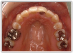
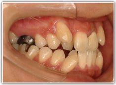
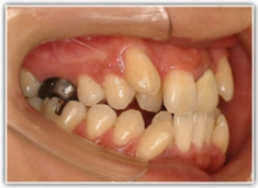
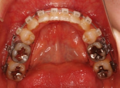
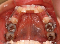
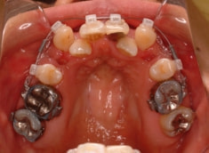
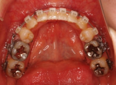
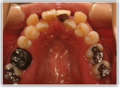
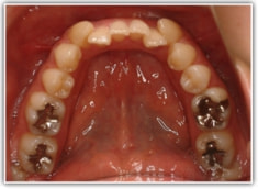
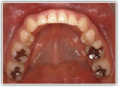
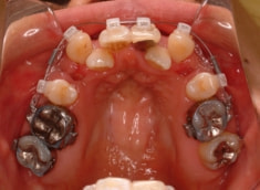
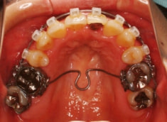
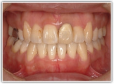
治療前









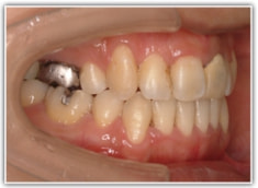
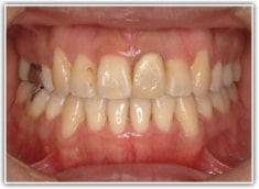
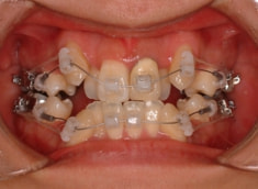
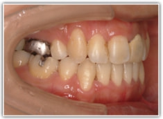
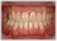
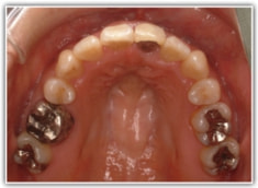
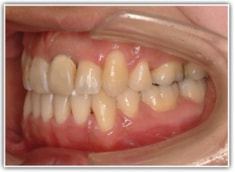
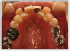
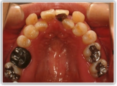
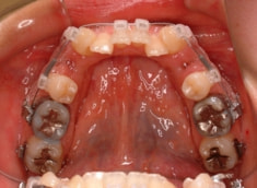
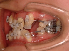
治療後(2年3ヶ月後)









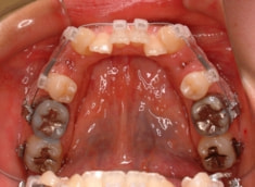
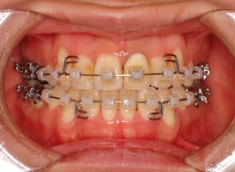
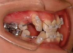
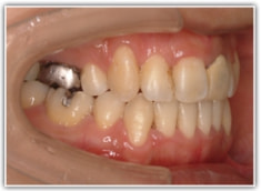
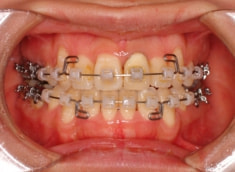
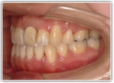
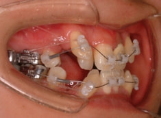
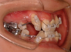
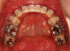
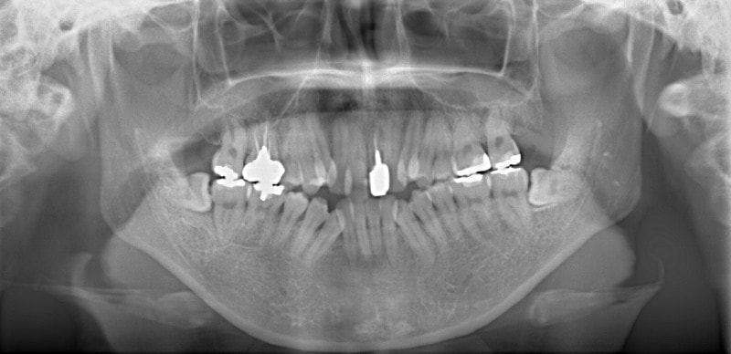
治療開始時





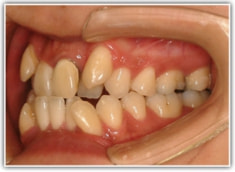
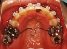
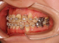
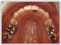
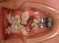
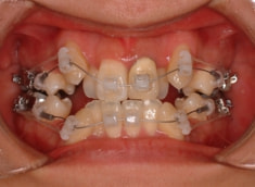
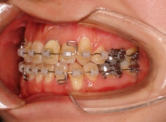
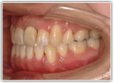
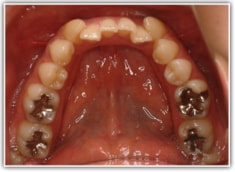
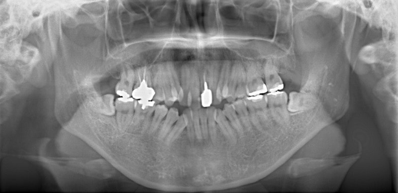
治療開始から約1年後





セファロ分析側貌

骨格的な下顎前突の傾向は強くはありませんが、歯牙の状態によって反対咬合が認められます。LowTongue(低位舌)もあります。

セファロ分析正貌

顔面の幅径はかなり狭い傾向にあります。

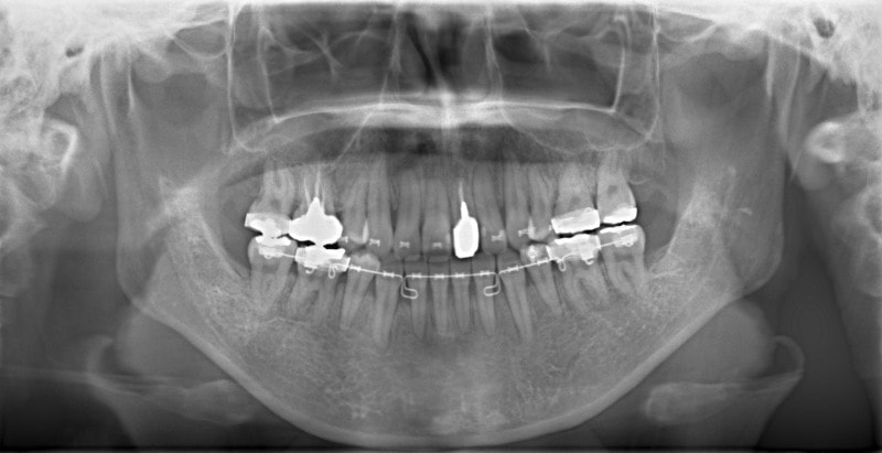
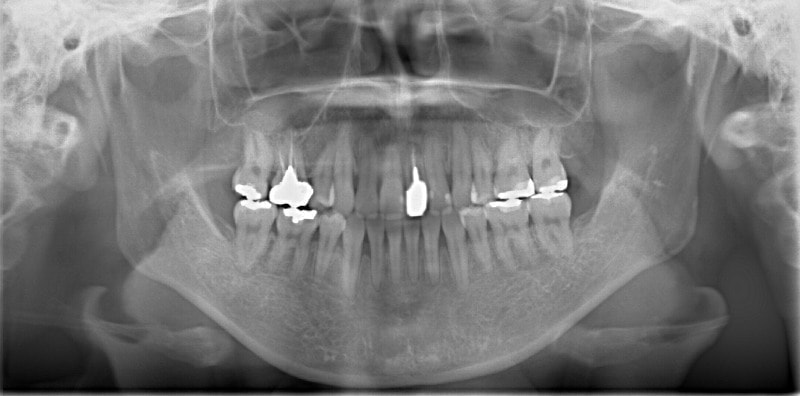
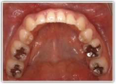
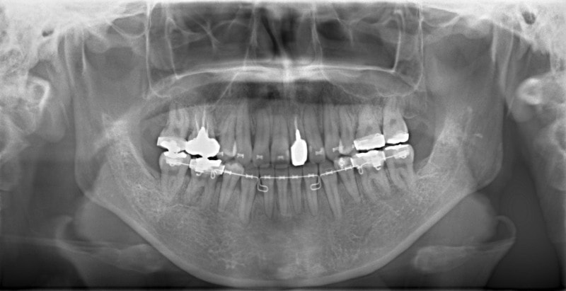
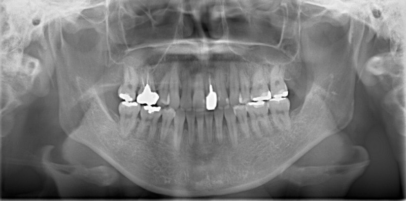
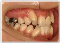
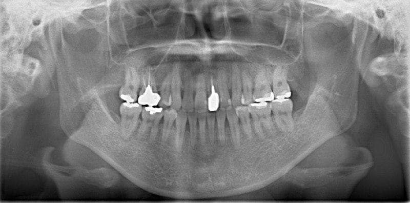
修復歯、補綴歯もあります。下顎8番が水平埋伏しています。

顎関節レントゲン分析

反対咬合の方はやはり下顎肢が細い傾向にあります。

治療後セファロ分析側貌

舌位、気道、咽頭扁桃、口蓋扁桃、良好なEラインとプロファイルが得られております。

治療後セファロ分析正貌

顔面の対称性が確保されております。

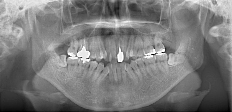
歯根のパラレリング(平行性)が獲得されております。
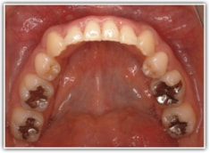
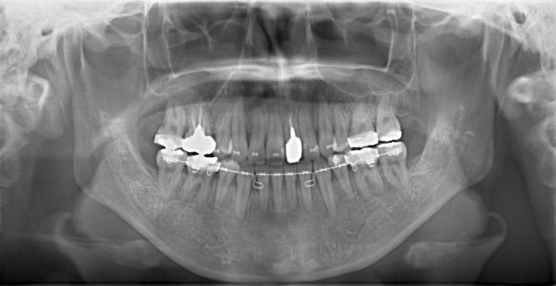
下顎8番は、両側抜歯済みです。

顎位は良好な状態です。