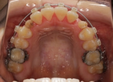
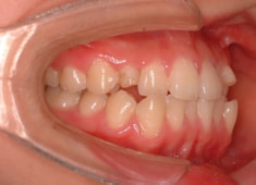
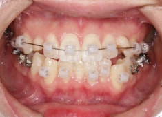
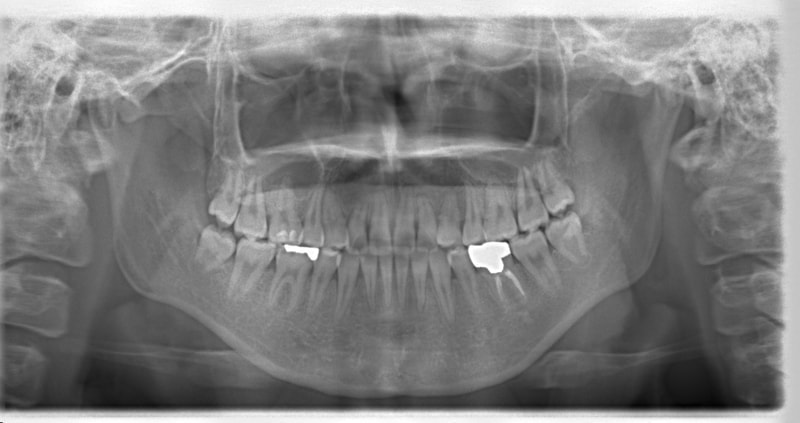
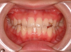
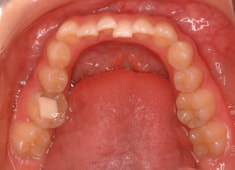
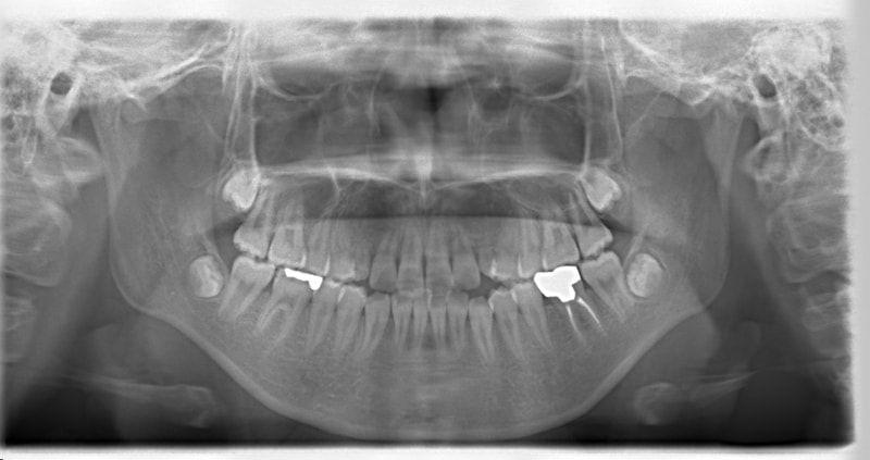
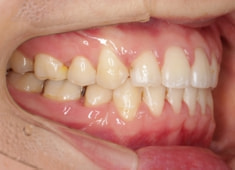
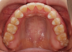
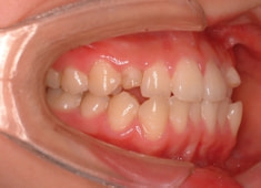
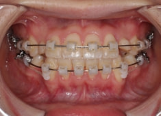
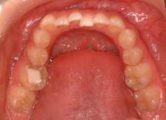
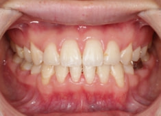
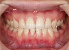
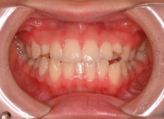
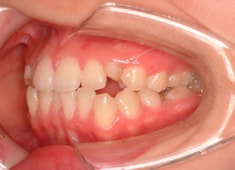
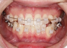
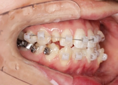
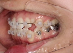
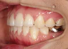
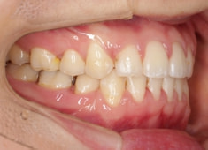
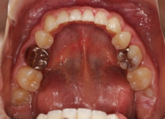
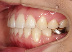
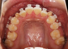
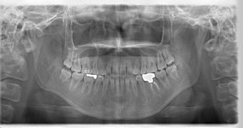
症例紹介

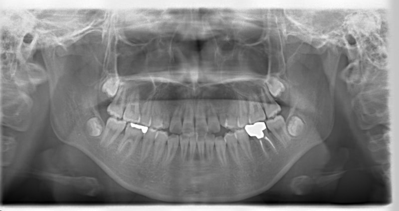
先天欠如歯両側上顎3番

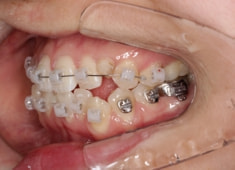
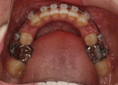
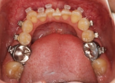
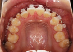
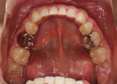
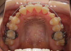
治療法:フルパッシブブラケット:T21

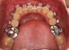
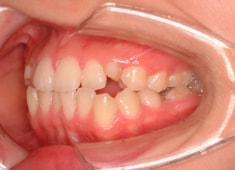
治療前






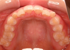
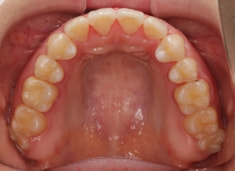
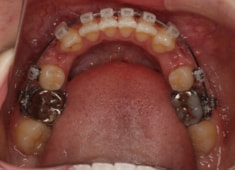
治療後(2年9ヶ月後)










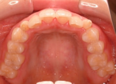
治療開始時





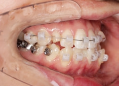
治療中