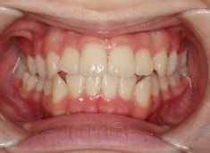
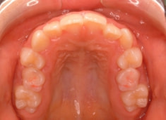
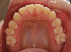
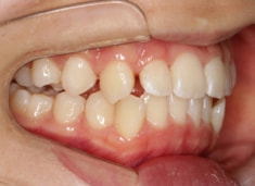
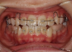
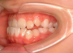
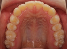
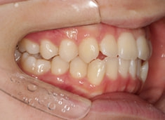
小児期長期管理ケース:左右非対称+反対咬合
治療法:上顎拡大装置+フルパッシブブラケット(クリアスナップ)+フェイスマスク+OC-1(非対称改善装置)
治療分析:上顎劣成長に由来する右側臼歯部全体に反対咬合がみられるので、上顎を拡大し、第臼歯部のtiltを改善することで、咬合平面の改善を促し、顔面の非対称を解消しました。
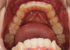
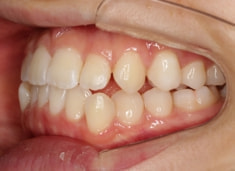
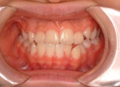
治療前








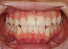
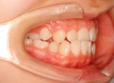
治療後(2年6ヶ月後)









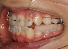
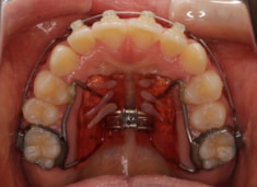
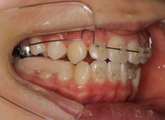
治療開始から2ヶ月





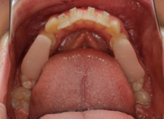
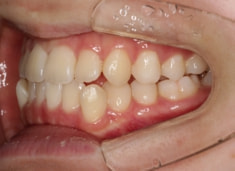
治療開始から約11ヶ月後








治療分析:上顎劣成長に由来する右側臼歯部全体に反対咬合がみられるので、上顎を拡大し、第臼歯部のtiltを改善することで、咬合平面の改善を促し、顔面の非対称を解消しました。
治療前
治療後(2年6ヶ月後)
治療開始から2ヶ月
治療開始から約11ヶ月後