症例紹介

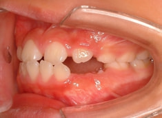
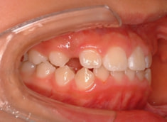
小児期ケース:反対咬合(受け口)

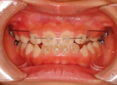
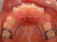
治療法:上顎拡大装置+フルパッシブブラケット(クリアスナップ)+フェイスマスク等

治療期間:1年3ヶ月
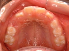
治療分析:日本人の反対咬合や下顎前突は、上顎の劣成長を伴なうことが多いので、上顎を側方拡大と前方に牽引しました。側方拡大方法は急速拡大で、正中口蓋縫合の拡大を行い、横口蓋縫合を剥がす効果で、前方牽引の効果を促進します。

 

治療経過分析:

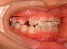
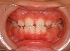
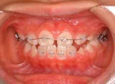
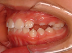
治療開始して3ヶ月で前歯はジャンプしておりますが、フェイスマスクをこの後もしっかり使用していただくことが大切です。
まだ治ったわけではないのです。

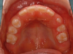
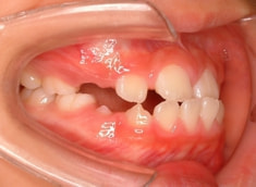
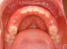
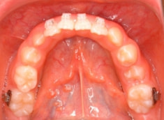
治療前








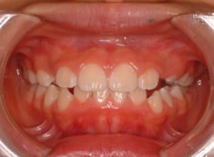
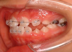
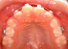
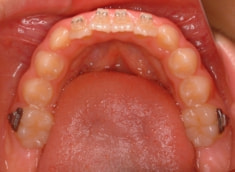
治療後(1年3ヶ月後)








治療開始から3ヶ月後





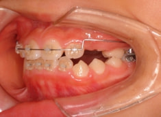
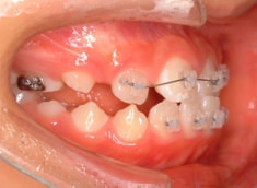
治療開始から約10ヶ月後