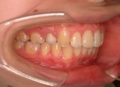
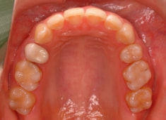
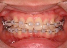
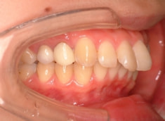
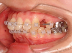
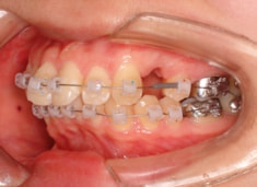
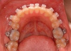
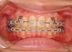
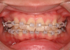
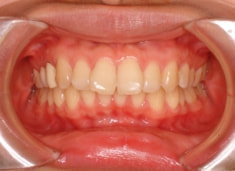
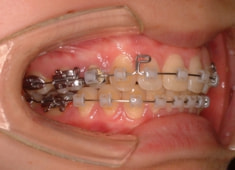
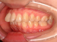
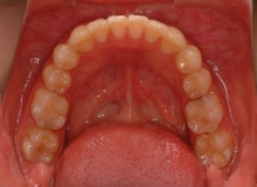
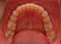
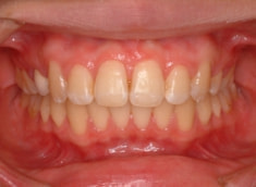
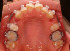
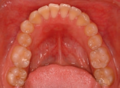
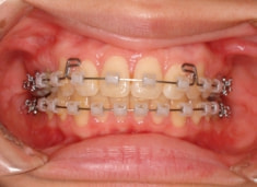
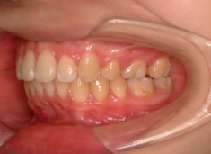
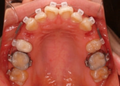
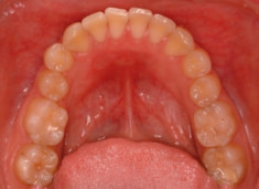
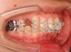
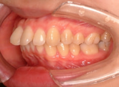
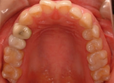
症例紹介

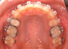
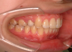
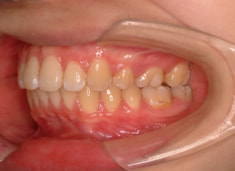
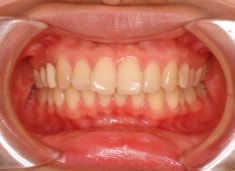
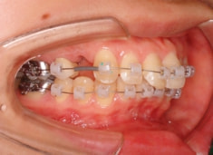
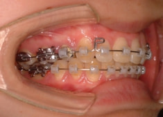
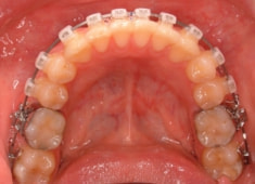
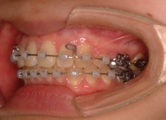
上顎前突ケース

治療法:表の矯正(T21ブラケット)

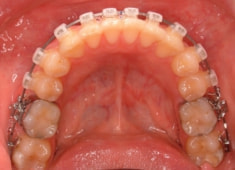
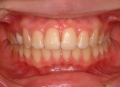
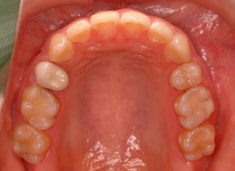
治療前





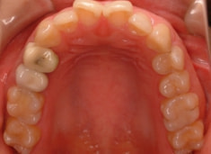
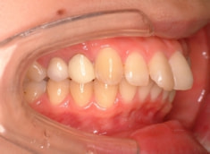
治療後(1年9ヶ月後)





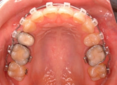
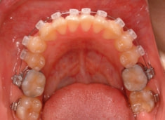
治療開始時





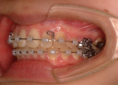
治療開始から1年7ヶ月後