症例紹介

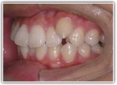
叢生(がたがた)+正中のズレがある症例

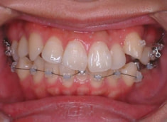
治療法:表の矯正(T21ブラケット)

左右の顎顔面の非対称と、歯の位置の非対称を伴うケースです。

治療前





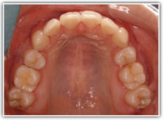
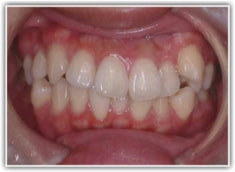
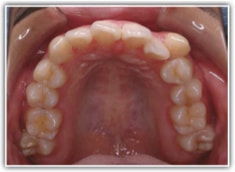
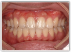
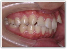
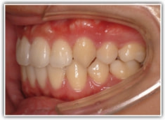
治療後(2年6ヶ月後)





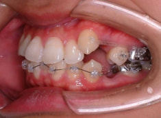
治療開始時





検査時セファロ分析側貌

上下顎とも前突しており、叢生もあります。分析値からも抜歯対象症例です。

正貌セファロ分析

左右の非対称が骨格的にも、歯槽的にも存在し、特に顎の中での上下の歯の位置に、下顎前歯一本分の左右のズレが認められるので、かなり強い非対称といえます。

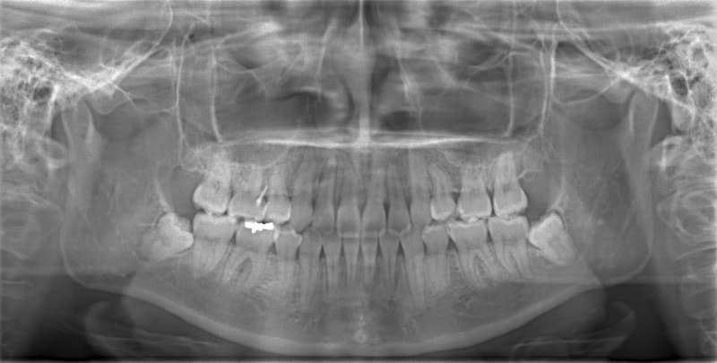
検査時パノラマレントゲン

特に小臼歯部に叢生があり、8番(親知らず)も埋伏しています。8番と7番の接触部分に吸収が若干あるような所見が認められます。

検査時顎関節

非対称のケースによくみられる、顎関節の変形や、CO-CRの不一致、位置の不正が認められます。

治療後のセファロ分析

前歯の位置、傾斜、Eラインなど、改善が認められます。

治療後のセファロ分析正貌

非対称が解消されております。

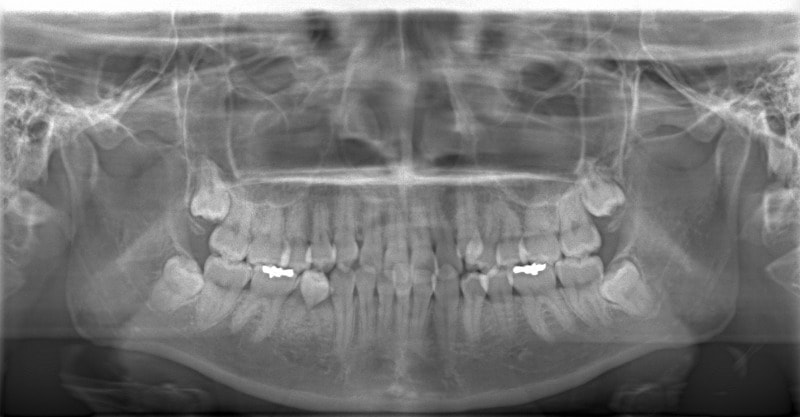
治療後のパノラマレントゲン

上顎8番は抜歯済み、下顎8番は後方余地に余裕がでたので、今後抜歯を行う予定です。

治療後の顎関節レントゲン

CO-CRの一致、顎関節位置の改善が認められます。

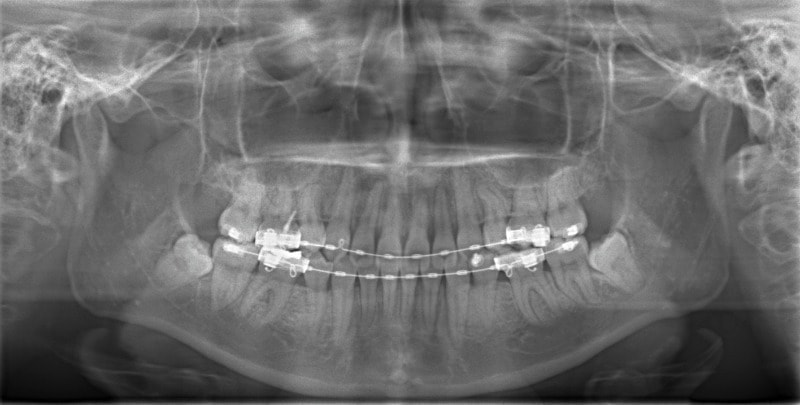
治療中のパノラマレントゲン

歯根吸収もなく、パラレリング(平行性)も確保されております。