症例紹介

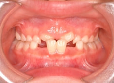
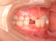
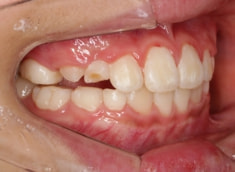
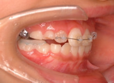
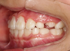
小児期ケース:反対咬合(受け口)

治療法:上顎拡大装置+フルパッシブブラケット(クリアスナップ)+フェイスマスク等

治療期間:1年3ヶ月
解説:上顎の急速拡大により、骨格的に拡大、前方牽引を促します。
歯牙の大きさ(マテリアル)分析:偏差値55.2なので、歯のサイズは平均よりは大きめです

 

治療解説:

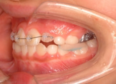
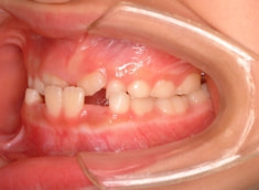
治療開始から6ヶ月で反対咬合の解消は達成されておりますが、これで治ったわけではなく、上顎の劣成長を改善しなければならないので、ここからしっかりとフェイスマスクを使用していただきます。

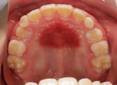
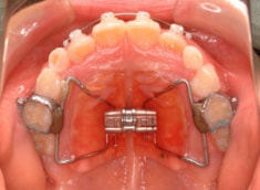
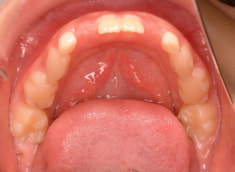
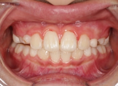
治療前








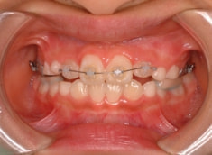
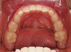
治療後(1年7ヶ月後)








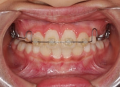
治療開始から6ヶ月後





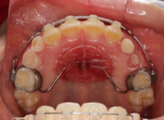
治療開始から約1年1ヶ月後





検査時のセファロ分析側貌:

日本人の典型的なパターンである、上顎劣成長が顕著で、下顎骨体自体も大きい値を示しています。
鼻閉、LowTongue(低位舌)あり。
Facial Axis(顔の成長方向):95.8°なので、今後下顎前突傾向は旺盛であると予測されます。

セファロ分析正貌:

顔面、鼻腔の幅径はさほど劣成長ではなく、非対称も軽度です。
上下顎の幅径と大臼歯の傾斜のギャップは平均値を越えて大きくなっており、上顎劣成長が顕著です。

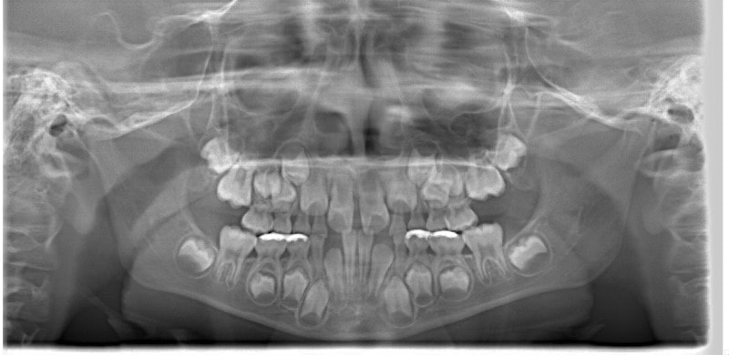
歯胚の位置は大きな問題はありません。
上顎劣成長の場合、統計的に左上犬歯のスペースに注意する必要があります。

手根骨の骨年齢は実年齢よりも低く男児なので、今後旺盛な下顎の成長が予測されます。

準備矯正終了時レントゲン分析
フェイスマスクによる上顎の前方牽引の効果が認めらます。

治療前後の重ね合わせから、フェイスマスクの効果が認められます。

治療前後の重ね合わせ
フェイスマスクの効果が得られております。