白石矯正歯科について
マニフェスト
院長紹介
アクセス・診療カレンダー
治療費について
衛生管理
国際基準の滅菌
治療の流れ
矯正治療について
ブラックトライアングルの改善
小児期の矯正
フルパッシブ矯正
症例紹介
採用
初めての患者様はこちら
白石矯正歯科について
マニフェスト
院長紹介
アクセス・診療カレンダー
治療費について
衛生管理
国際基準の滅菌
治療の流れ
矯正治療について
ブラックトライアングルの改善
小児期の矯正
フルパッシブ矯正
症例紹介
採用
初めての患者様はこちら
症例紹介
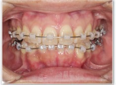
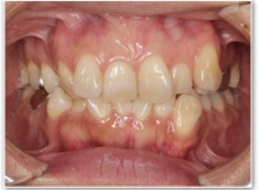
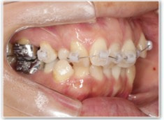
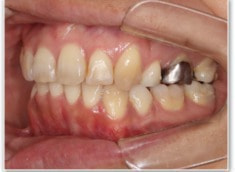
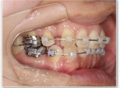
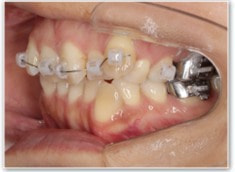
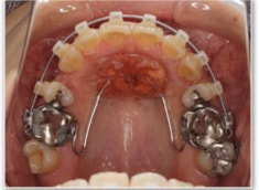
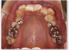
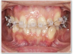
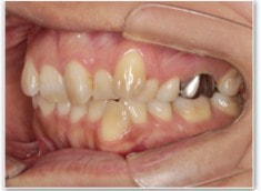
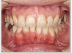
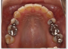
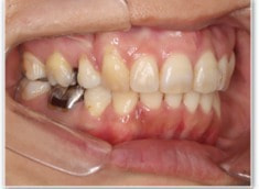
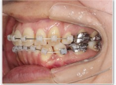
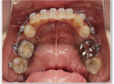
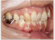
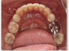
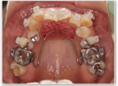
過蓋咬合(ディープバイト)ケース
(噛み合わせが深くて、下の歯が隠れて見えず、削れている)
治療法:T21
治療前
治療後
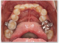
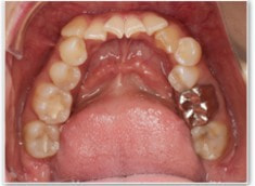
治療開始時
治療開始から1年後
症例一覧に戻る