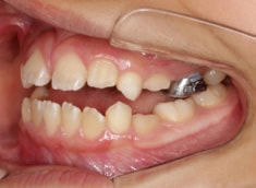
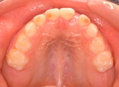
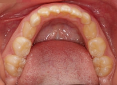
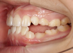
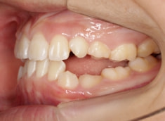
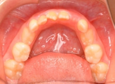
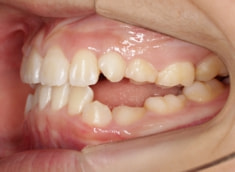
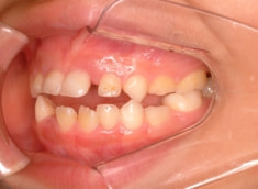
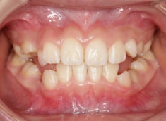
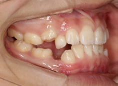
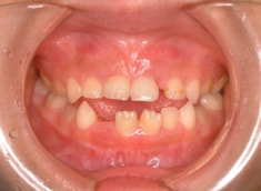
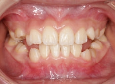
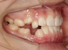
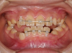
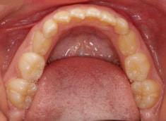
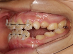
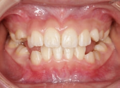
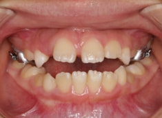
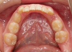
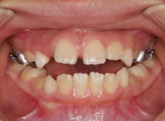
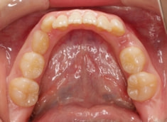
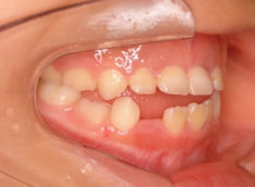
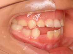
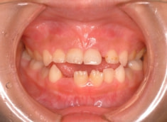
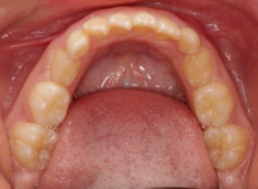
症例紹介

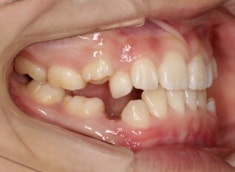
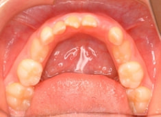
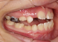
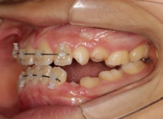
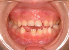
小児期ケース:オープンバイト+下顎前突

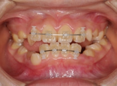
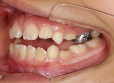
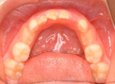
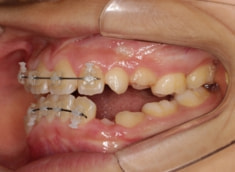
治療法:拡大装置+フルパッシブブラケット(クリアスナップ)+フェイスマスク+舌トレーニング+前歯部エラスティック

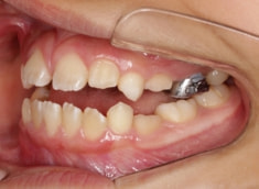
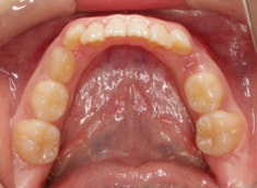
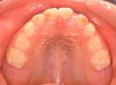
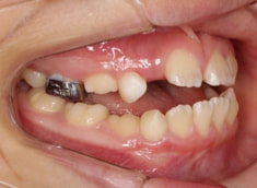
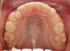
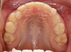
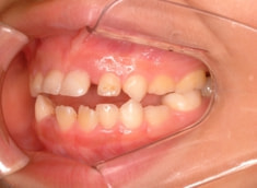
治療前








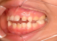
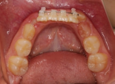
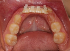
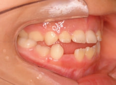
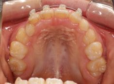
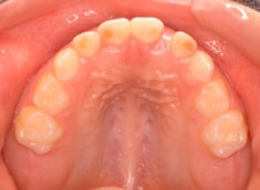
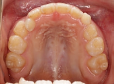
治療後(1年5ヶ月後)









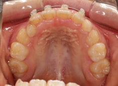
治療開始時





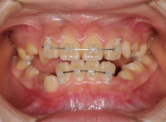
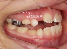
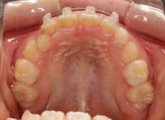
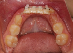
治療開始から11ヶ月