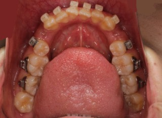
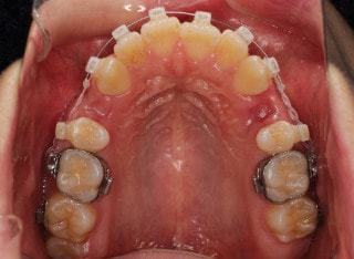
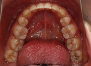
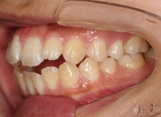
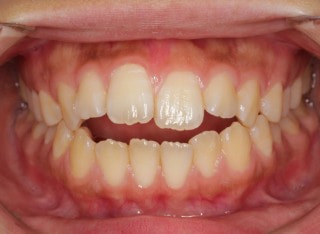
症例紹介

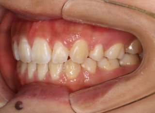
開咬(かいこう:オープンバイト)ケース

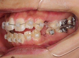
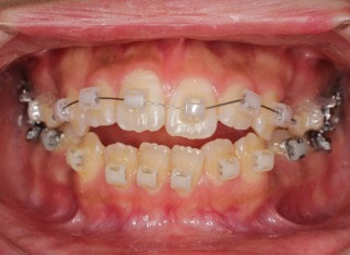
治療法:表の矯正(T21ブラケット)

小臼歯エラスティック+機能訓練(前歯部のエラスティックは使用してない)

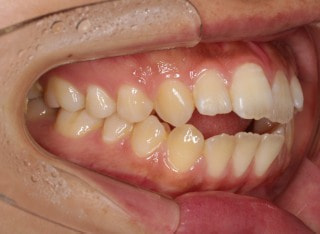
治療前









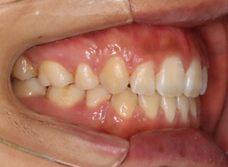
治療後(1年11ヶ月後)









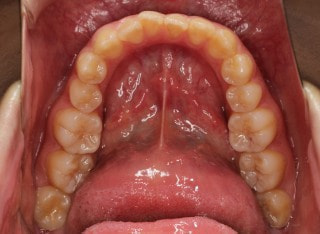
治療開始時