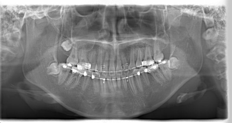
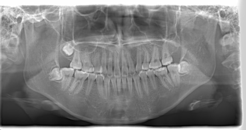
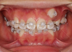
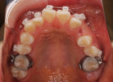
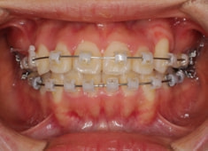
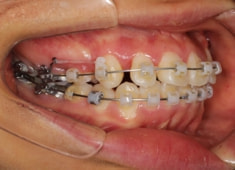
症例紹介

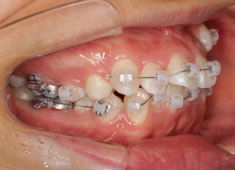
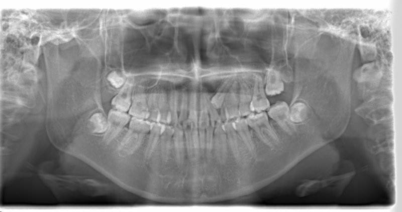
左上3番埋伏歯

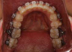
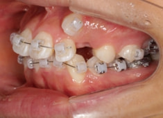
治療法:フルパッシブブラケット:T21

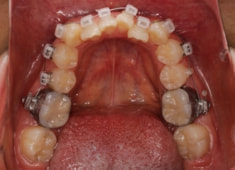
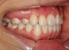
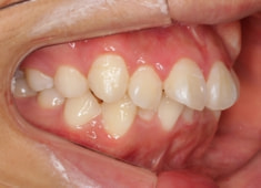
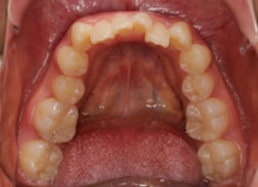
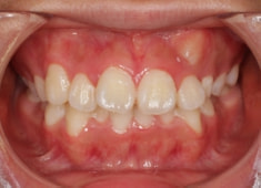
治療前










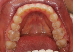
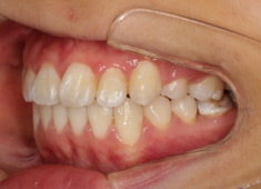
治療後(2年後)










治療開始時





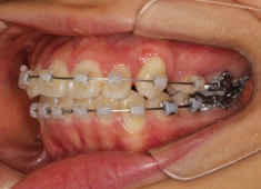
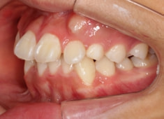
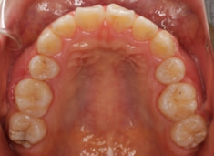
治療開始から11ヶ月後