症例紹介

小児期ケース:叢生(ガタガタ)

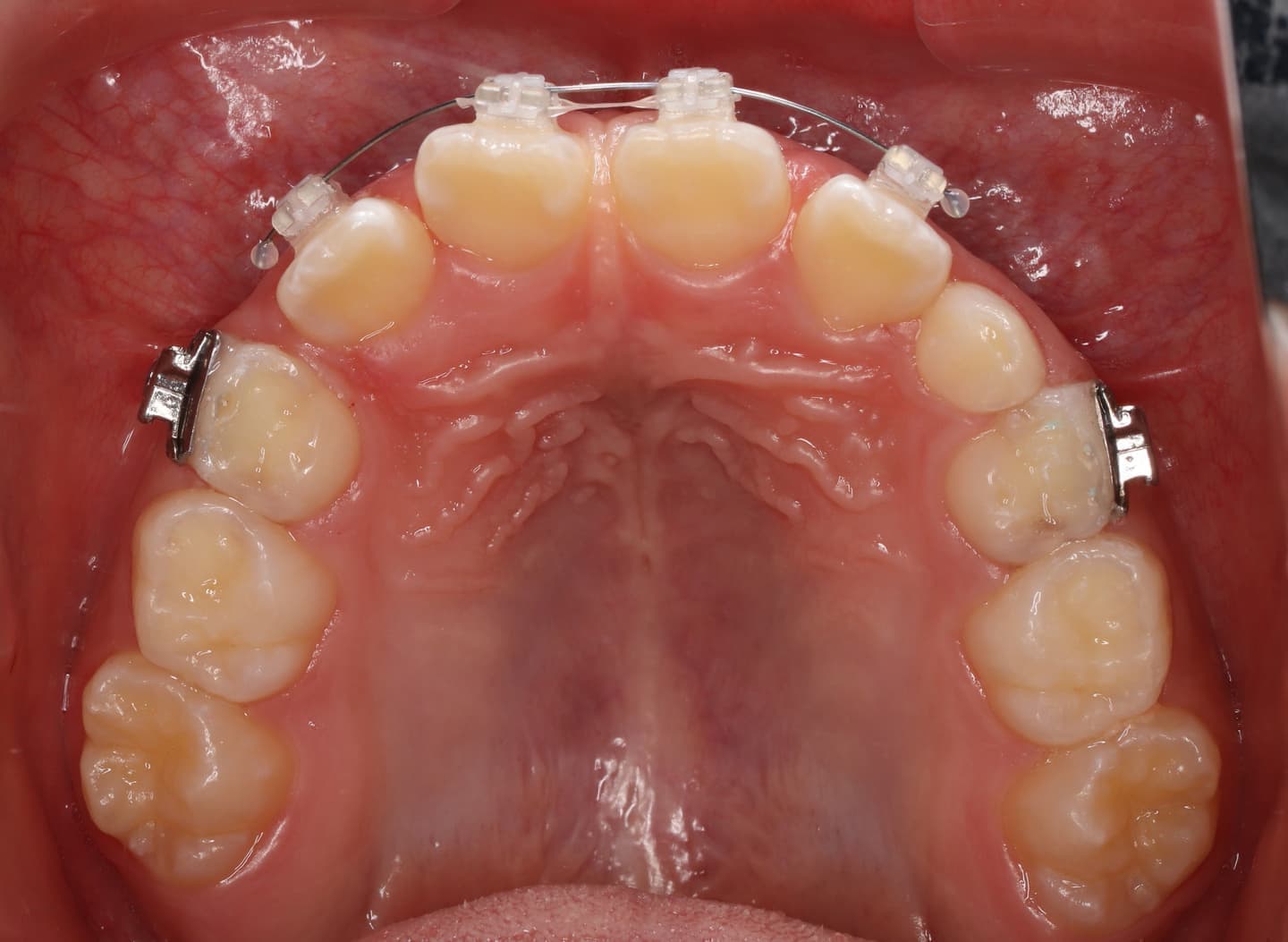
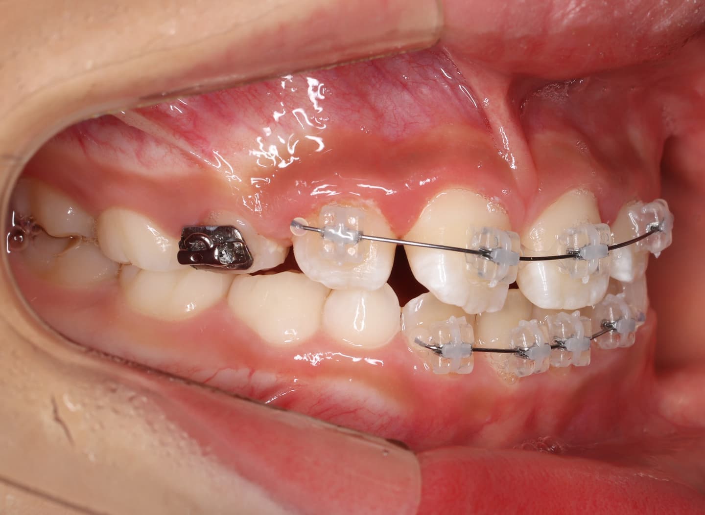
治療法:拡大プレート+フルパッシブブラケット(クリアスナップ)

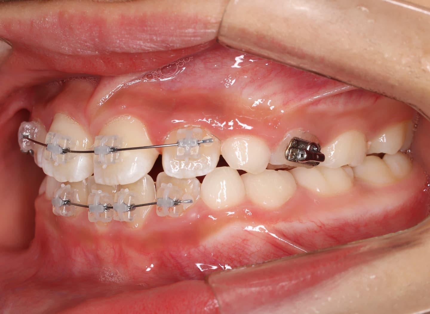
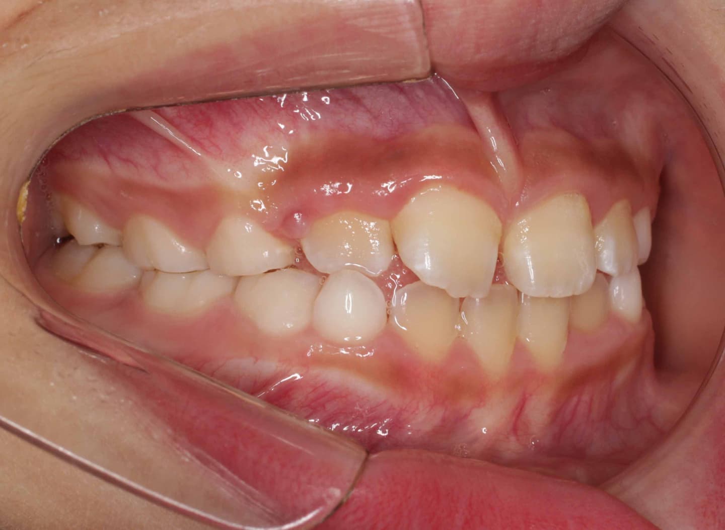
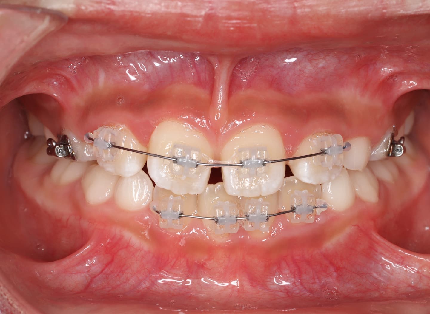
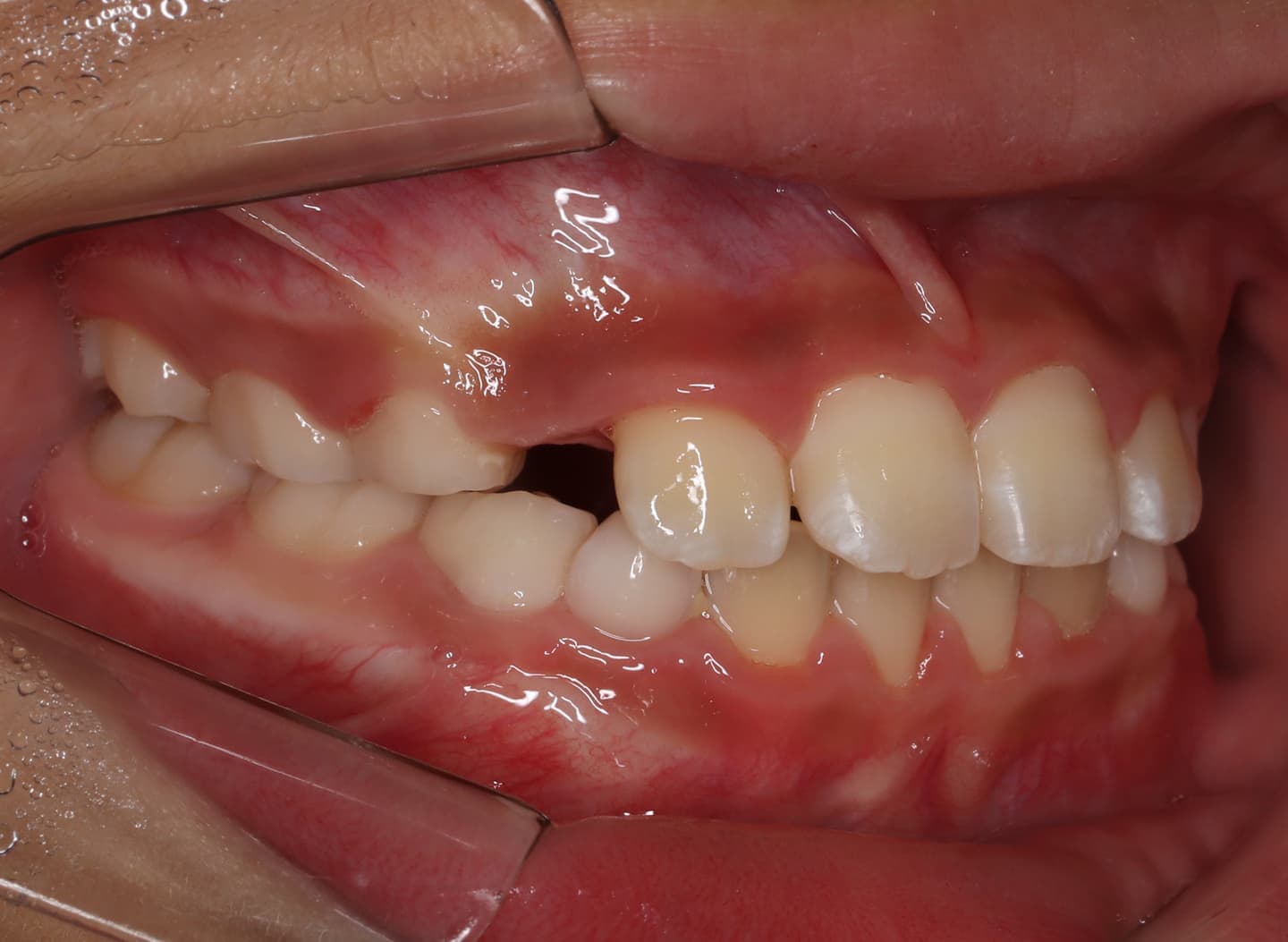
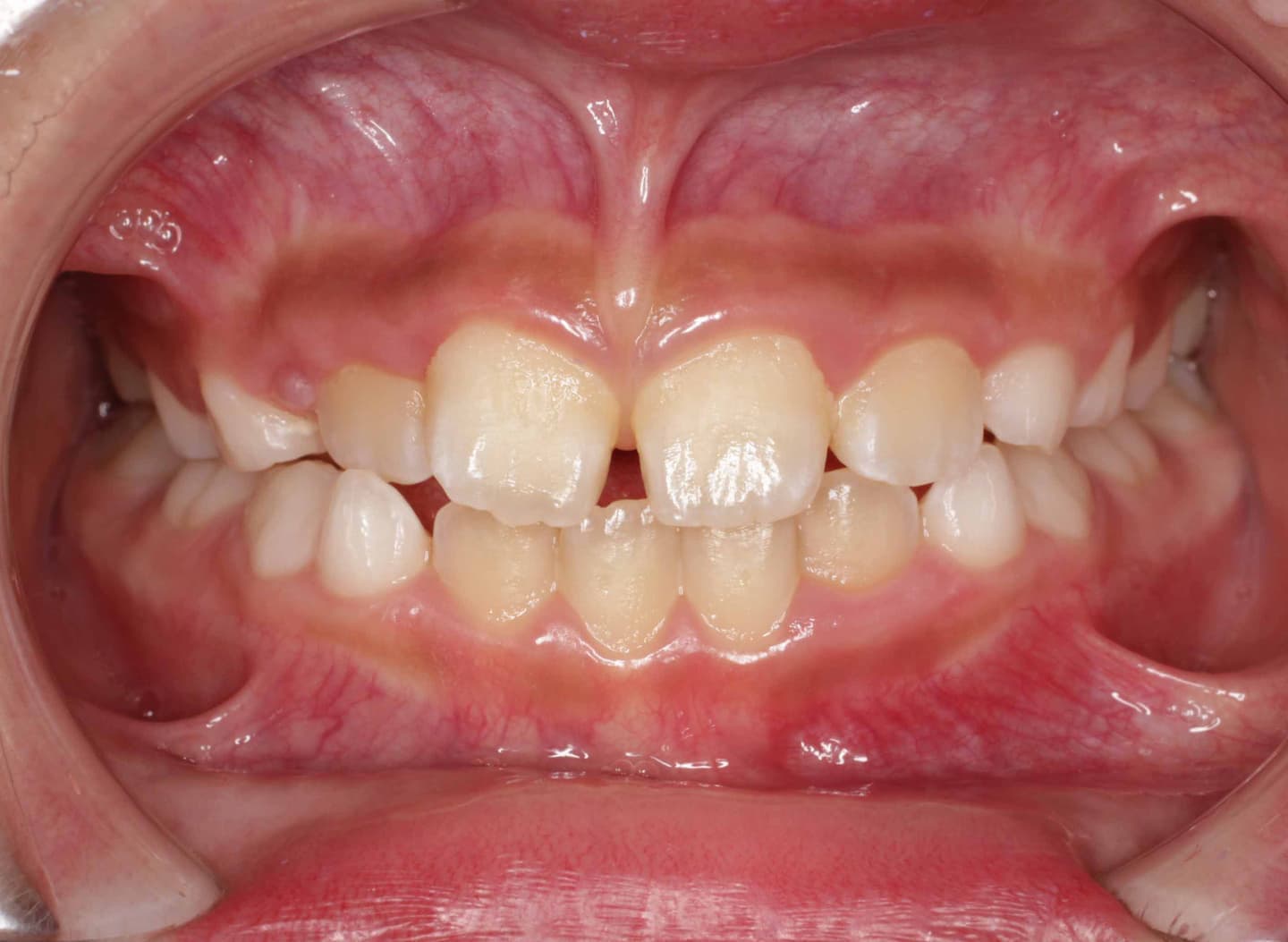
診断:初診時では右上3番の萌えるスペースがほとんどなく、顔と上顎と下顎の正中に対して、上顎前歯の正中が右にずれこんでいます。その影響で右上2番が右下乳歯Cと反対咬合になっています。放置すると、右上3番が埋伏歯になり、下顎の成長が左方向に流れるので、成長とともに顔面の非対称が増悪されることが予測されます。

治療前






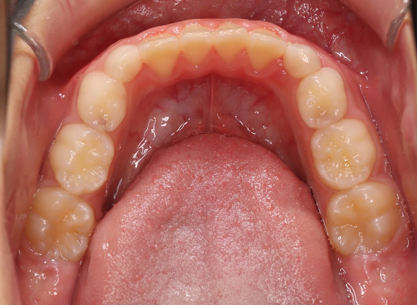
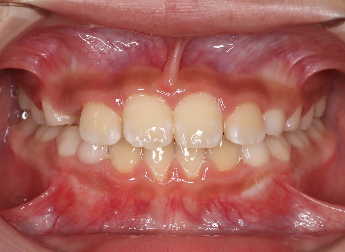
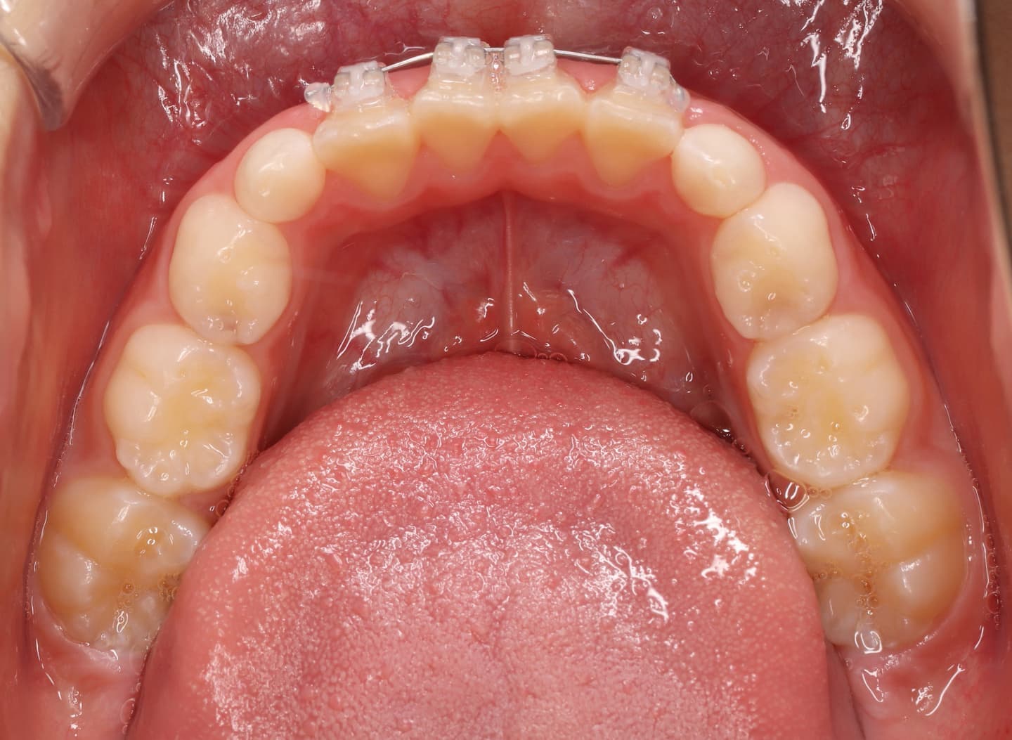
治療後(12ヶ月後)





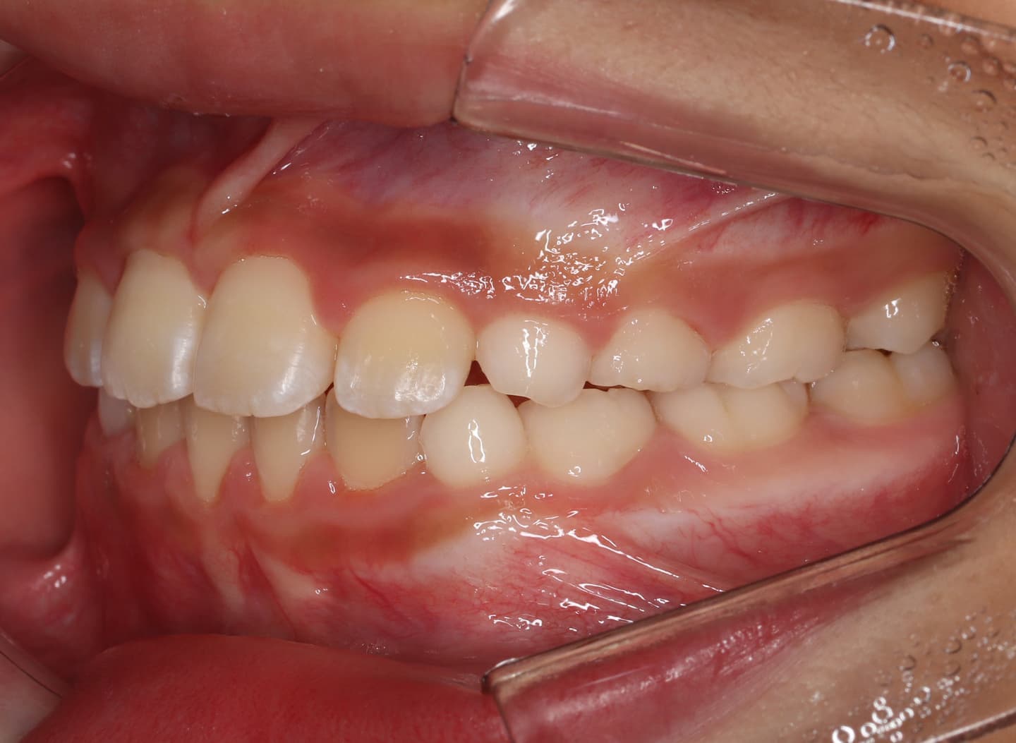
治療中





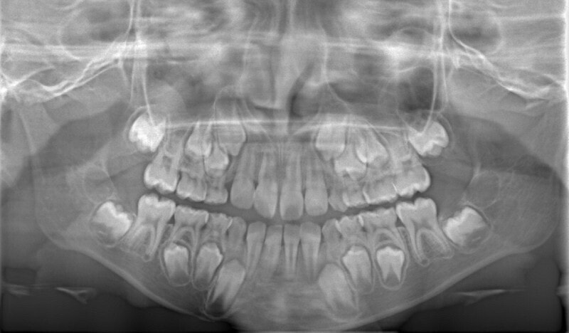
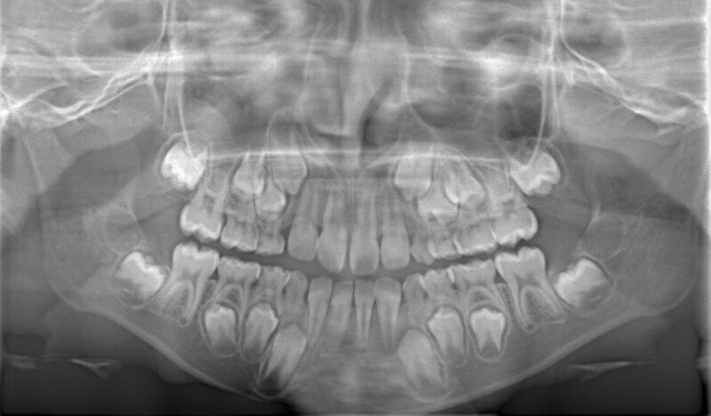
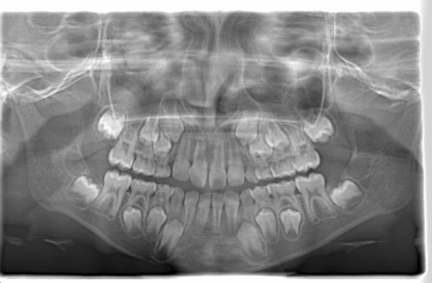
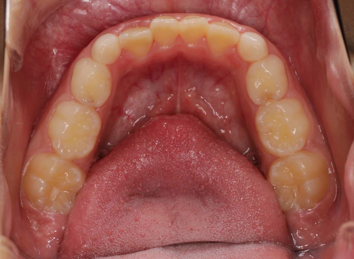
分析診断:FXフェイシャルアキシスが83度で、咬合力が極端に弱い顔面骨格ではありません。上下顎の骨格的バランスも平均値内には収まっています。Upper Molar PTV値から、上顎の奥行きが少ないとわかります。前歯の位置、E-lineと下唇の位置等から、歯が大きくて顎が小さいディスクレパンシーケースであると診断されます。

分析診断:左右の骨格的非対称が少し認められます。上顔面の幅径はさほど狭くなありませんが、下顎や下顔面の幅径は狭いと出ています。

右上乳犬歯が既に脱落しており、右上犬歯の萌出スペースがゼロになっています。