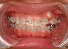
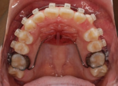
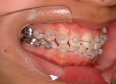
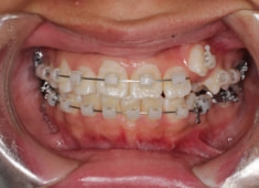
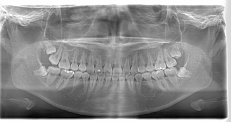
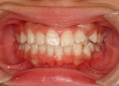
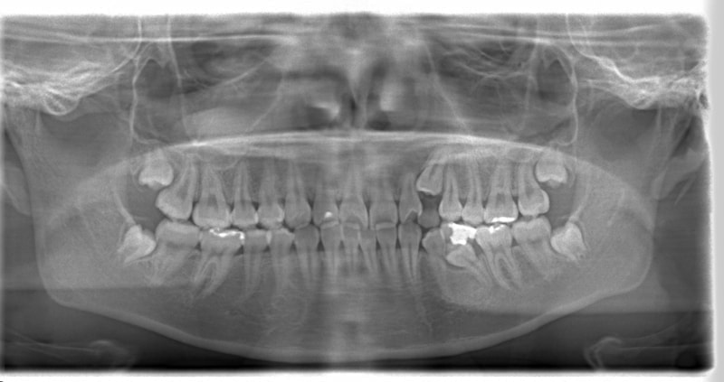
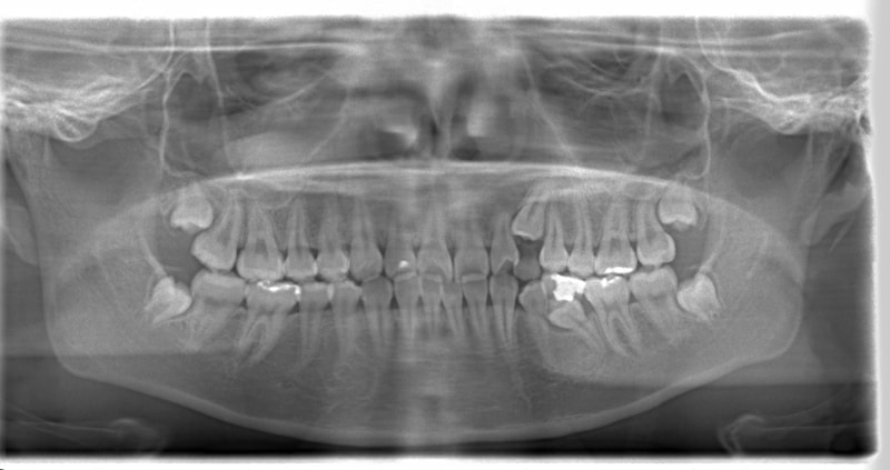
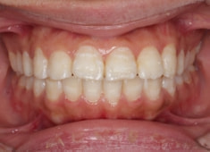
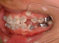
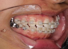
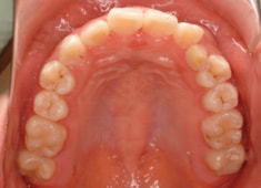
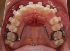
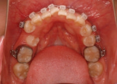
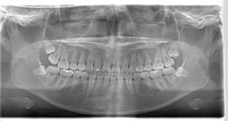
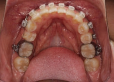
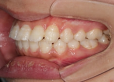
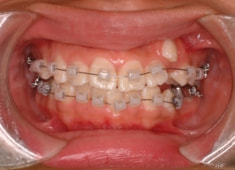
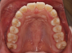
症例紹介

左上3番左下5番埋伏歯

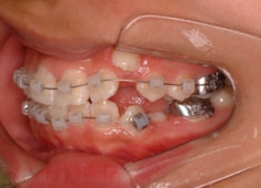
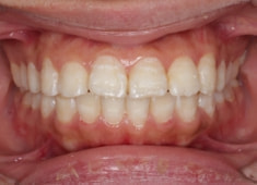
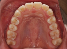
治療法:フルパッシブブラケット:T21

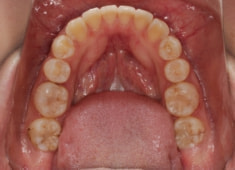
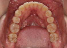
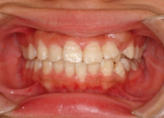
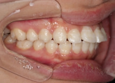
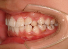
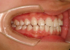
治療前










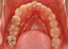
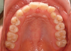
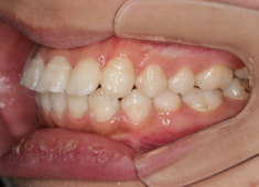
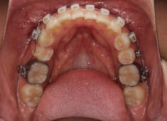
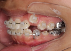
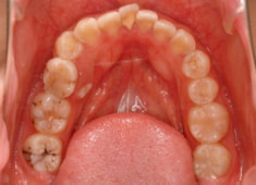
治療後(1年12ヶ月後)










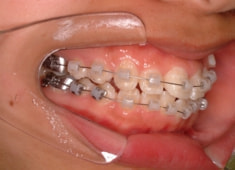
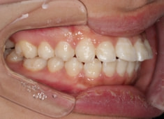
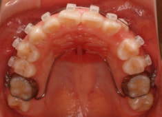
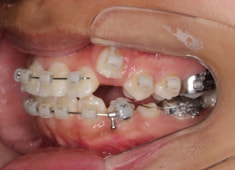
治療開始時





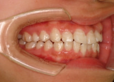
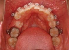
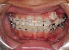
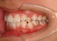
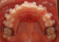
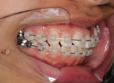
治療開始から5ヶ月後