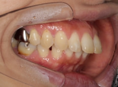
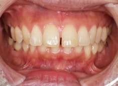
症例紹介

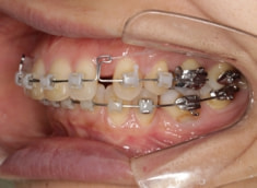
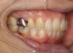
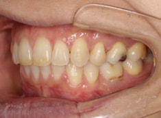
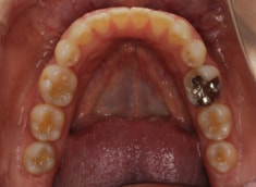
下顎両側5番先天欠如+上下顎前突ケース

治療法:表の矯正(T21)

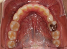
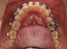
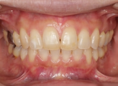
治療前









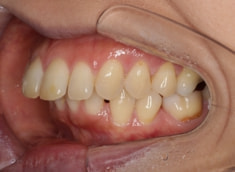
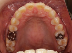
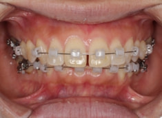
治療後(24ヶ月後)









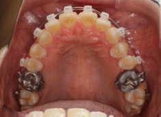
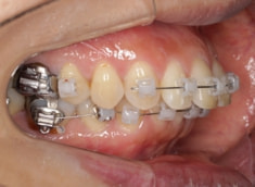
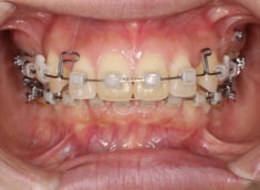
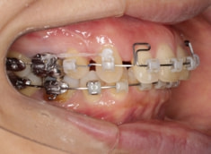
治療開始時





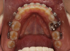
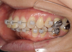
治療開始から12ヶ月後