症例紹介

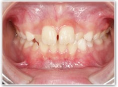
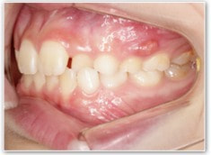
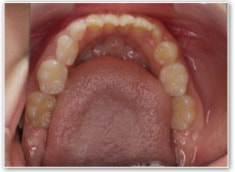
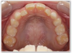
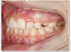
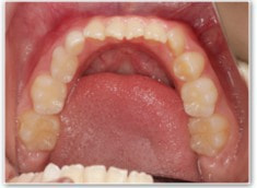
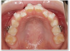
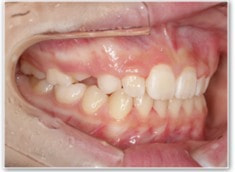
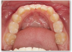
小児期ケース:叢生(ガタガタ)

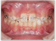
治療法:拡大プレート+フルパッシブブラケット(クリアスナップ)

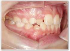
治療前









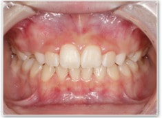
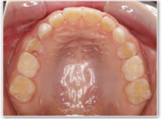
治療後(8ヶ月後)









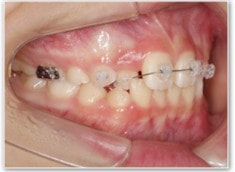
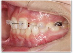
治療中