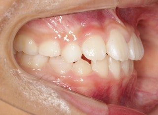
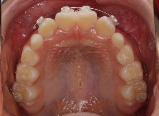
症例紹介

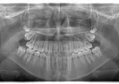
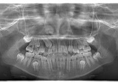
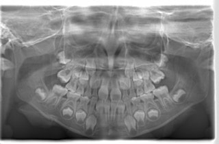
小児期ケース:反対咬合+上顎両側3番埋伏歯
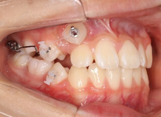
(受け口+右上3番目の永久歯が埋まってしまい、はえてこない)

治療法:上顎急速拡大装置+クリアスナップ+フェイスマスク+上顎右側3番は開窓萌出誘導
(難症例のため、小児期の矯正を2段階にわけました)

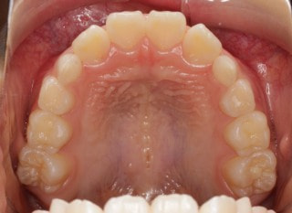
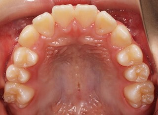
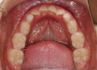
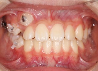
治療前









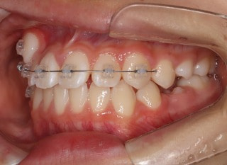
前歯装置装着時





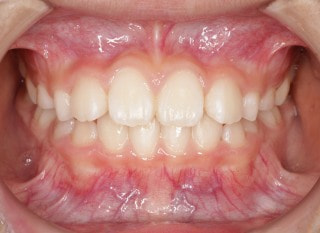
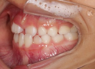
小児期第一段階
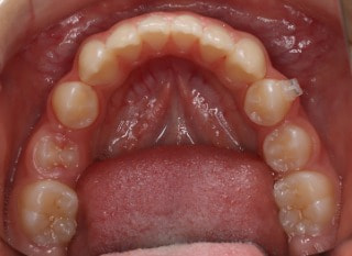
終了時









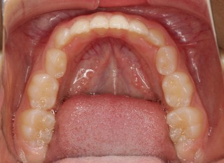
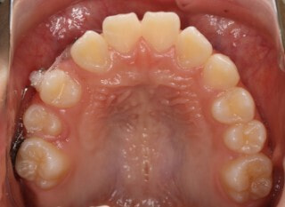
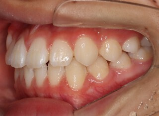
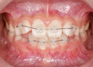
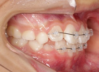
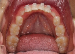
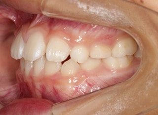
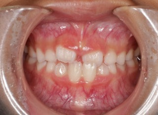
小児期第二段階
開始時






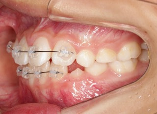
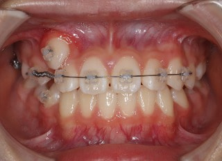
小児期の第二段階
治療中





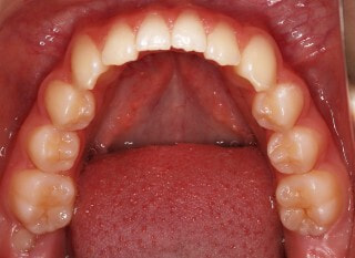
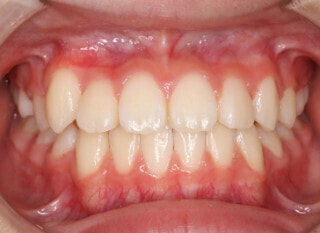
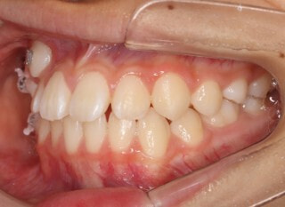
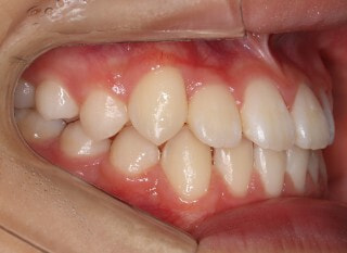
小児期の第二段階
終了時