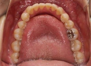
骨格的左右非対称+オープンバイト反対咬合
治療法:フルパッシブブラケット:T21+タングトレーニング
解説:顔面の骨格的な左右非対称とオープンバイト反対咬合、舌突出癖が認められる、非常に難しい症例です。
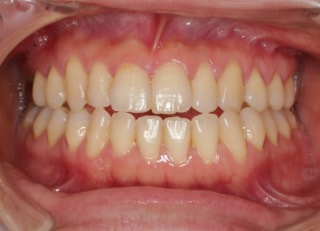
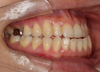
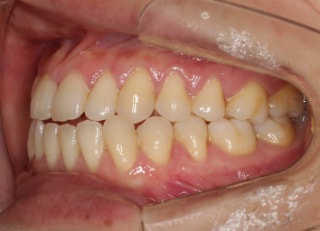
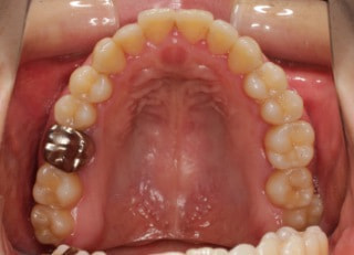
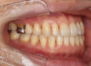
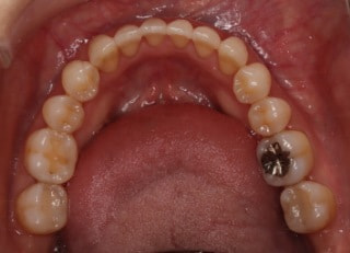
治療前










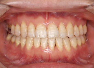
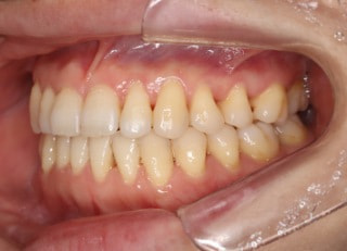
治療後(2年4ヶ月後)










検査時のセファロ分析側貌
上顎劣成長の反対咬合の値が出ています。

検査時セファロ分析正貌
顔面の骨格的な左右非対称が認められます。

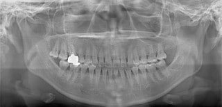
検査時パノラマレントゲン
全体の歯根のパラレリング(平行性)は悪い状態ではありません。顎関節の変形などはありません。鼻閉もありません。

成人の反対咬合なので、少し顎関節にダメージはありますが、重症ではありません。CO(中心咬合位)の位置には問題があります。CO-CRのズレが存在しますので、顎関節には負担がかかっています。

治療後セファロ分析
ほぼ正常値に治り良好な状態です。

治療後セファロ分析正貌
下顎の偏位は改善されました。

治療後パノラマレントゲン
歯根のパラレリングは良好です。顎関節に問題はありません。

治療後顎関節レントゲン
CO-CR位置の改善が認められます。


