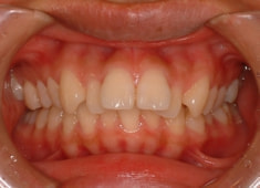
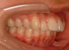
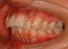
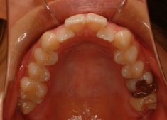
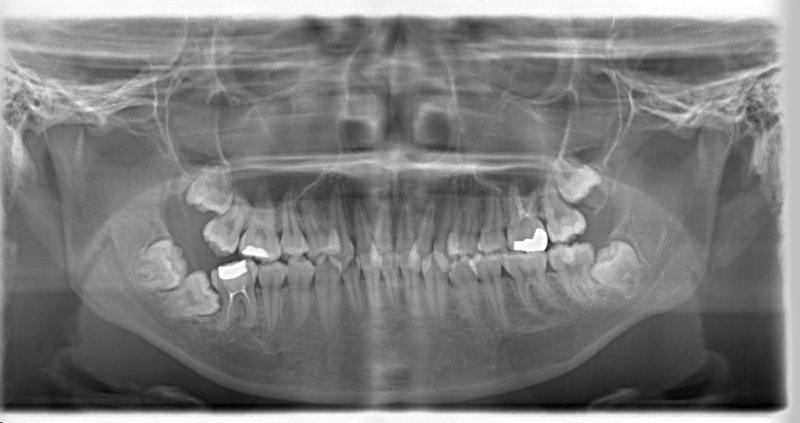
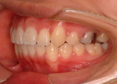
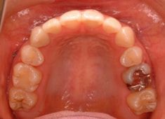
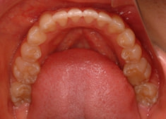
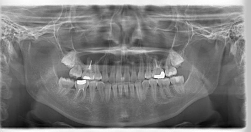
上顎前突+右下7番重度埋伏
(右下7番目の永久歯が下顎の中に埋まったまま、親知らずが上に乗っている)
治療法:フルパッシブブラケット:T21
解説:右下7番を抜歯し、右下8番を開窓牽引しました。近年、顎が退化しており、歯の大きさとの不調和がどんどん強くなりつつあります。2018年の矯正学会でも、本症例と同様の下顎7番8番の問題ケースが講演で紹介されておりました。こうなる前に、先手を打ちたいものです。小児の間に先行治療できるのがベストですので、お子様が6才になったら矯正専門医院に初診相談に行くようにしましょう。やる必要があるかどうかを聞きに行くのです。
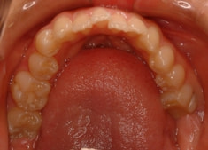
治療前










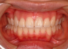
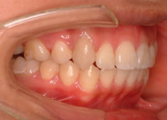
治療後(2年3ヶ月後)









