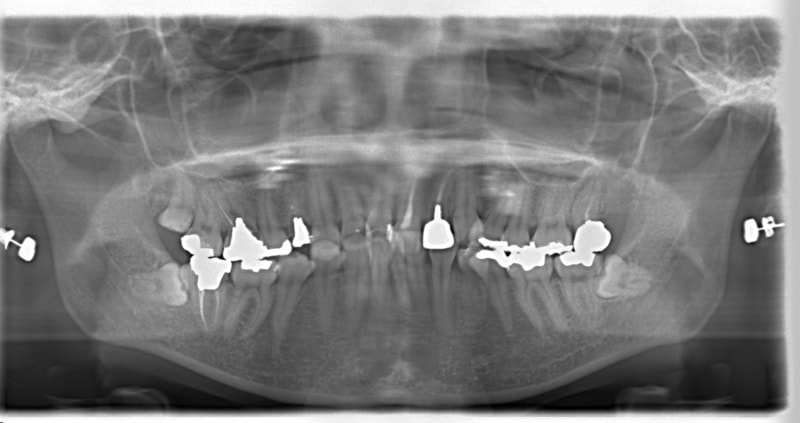
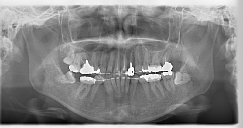
症例紹介

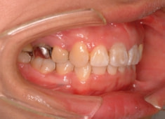
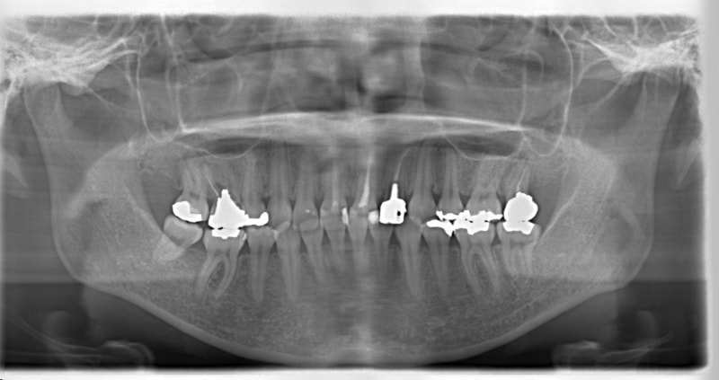
右下7番欠如歯(保存不可能歯につき抜歯)右下8番利用

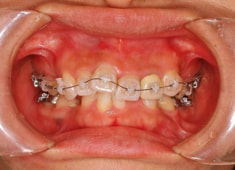
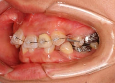
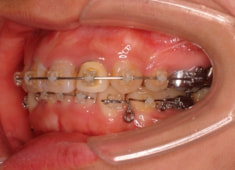
治療法:フルパッシブブラケット:クリアスナップ

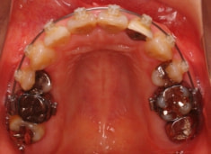
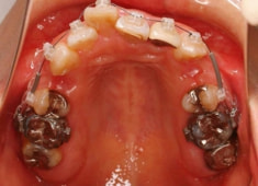
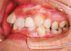
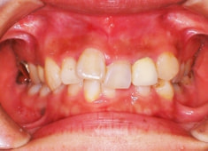
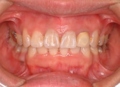
治療前










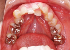
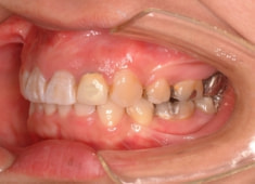
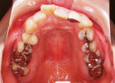
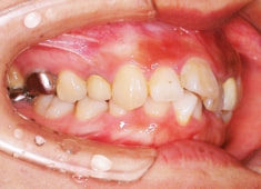
治療後(3年2ヶ月後)










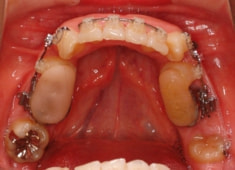
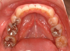
治療開始時






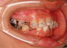
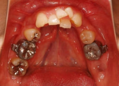
治療開始から1年8ヶ月後