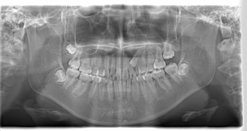
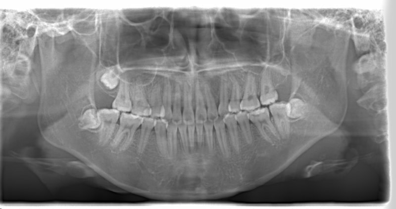
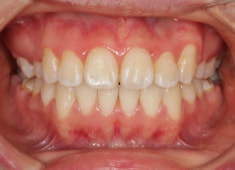
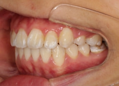
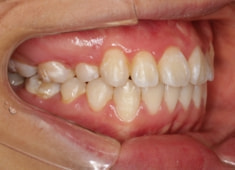
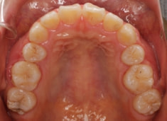
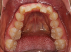
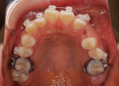
症例紹介

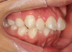
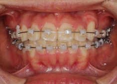
左上3番埋伏歯

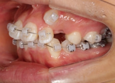
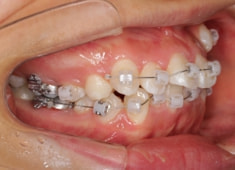
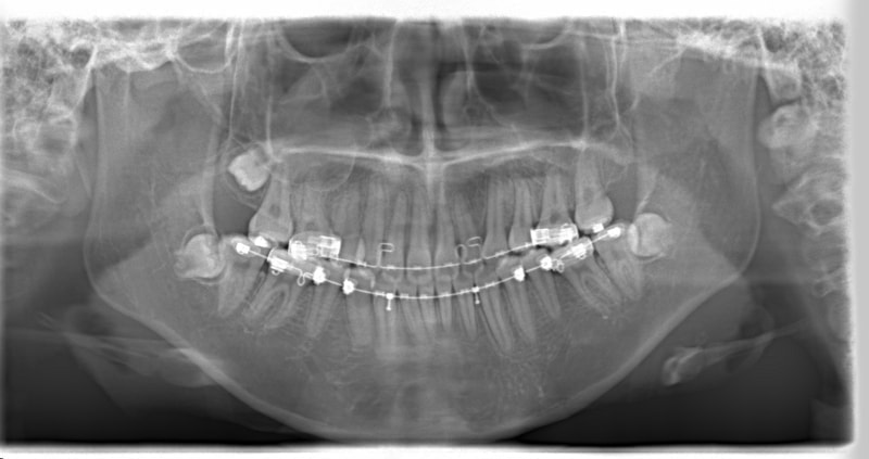
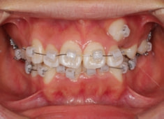
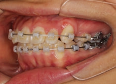
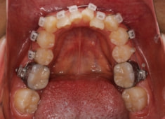
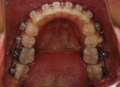
治療法:フルパッシブブラケット:T21

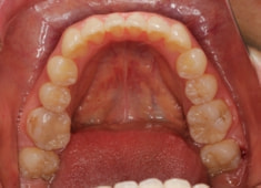
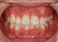
治療前










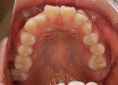
治療後(2年後)










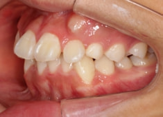
治療開始時





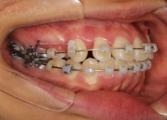
治療開始から11ヶ月後